
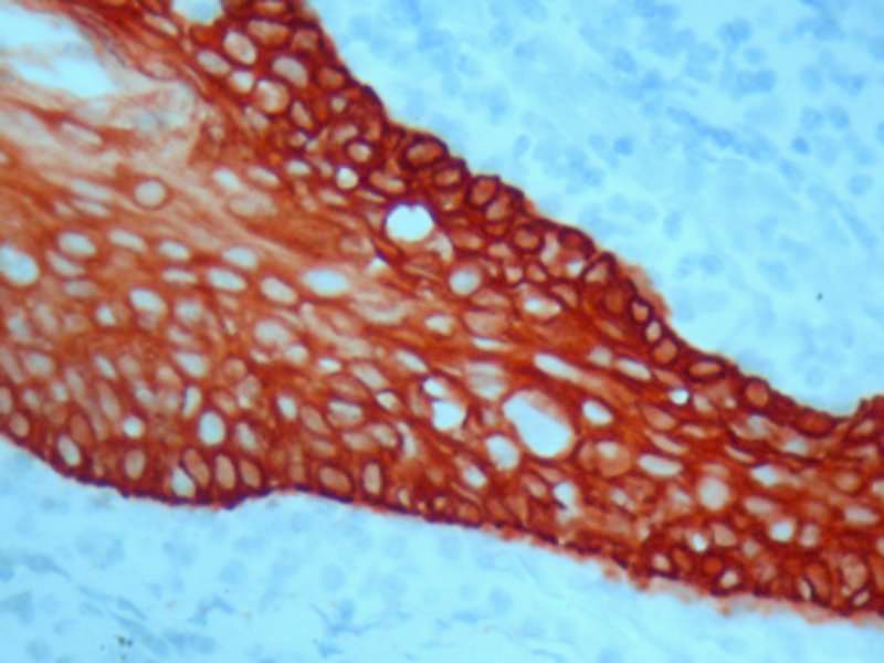
IHC-P analysis of human tonsil tissue using high Cytokeratin H.M.W antibody with GTX03600 Mono AEC/Plus.
Mono AEC/Plus
GTX03600
Product group Assays
Overview
- SupplierGeneTex
- Product NameMono AEC/Plus
- Delivery Days Customer9
- ApplicationsImmunoHistoChemistry, ImmunoHistoChemistry Paraffin
- CertificationResearch Use Only
- ConjugateUnconjugated
- Storage Instruction2°C to 8°C
- UNSPSC41116133
