
Sample (30 ug of whole cell lysate) A: H1299 7.5% SDS PAGE GTX107608 diluted at 1:500
MPP3 antibody [N1C1]
GTX107608
ApplicationsWestern Blot, ImmunoHistoChemistry, ImmunoHistoChemistry Paraffin
Product group Antibodies
ReactivityHuman, Mouse
TargetMPP3
Overview
- SupplierGeneTex
- Product NameMPP3 antibody [N1C1]
- Delivery Days Customer9
- Application Supplier NoteWB: 1:500-1:3000. IHC-P: 1:100-1:1000. *Optimal dilutions/concentrations should be determined by the researcher.Not tested in other applications.
- ApplicationsWestern Blot, ImmunoHistoChemistry, ImmunoHistoChemistry Paraffin
- CertificationResearch Use Only
- ClonalityPolyclonal
- Concentration0.39 mg/ml
- ConjugateUnconjugated
- Gene ID4356
- Target nameMPP3
- Target descriptionMAGUK p55 scaffold protein 3
- Target synonymsDLG3, MAGUK p55 subfamily member 3, discs, large homolog 3, membrane palmitoylated protein 3, membrane protein palmitoylated 3, membrane protein, palmitoylated 3 (MAGUK p55 subfamily member 3)
- HostRabbit
- IsotypeIgG
- Protein IDQ13368
- Protein NameMAGUK p55 subfamily member 3
- Scientific DescriptionThis gene product is a member of a family of membrane-associated proteins termed MAGUKs (membrane-associated guanylate kinase homologs). MAGUKs interact with the cytoskeleton and regulate cell proliferation, signaling pathways, and intracellular junctions. This protein contains a conserved sequence, called the SH3 (src homology 3) motif, found in several other proteins that associate with the cytoskeleton and are suspected to play important roles in signal transduction. Alternatively spliced transcript variants have been identified. One transcript variant is experimentally supported, but it doesnt encode a protein. [provided by RefSeq]
- ReactivityHuman, Mouse
- Storage Instruction-20°C or -80°C,2°C to 8°C
- UNSPSC41116161

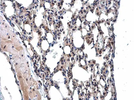
![MPP3 antibody [N1C1] detects MPP3 protein at cytoplasm and nucleus in mouse lung by immunohistochemical analysis. Sample: Paraffin-embedded mouse lung. MPP3 antibody [N1C1] (GTX107608) diluted at 1:500.
Antigen Retrieval: Citrate buffer, pH 6.0, 15 min MPP3 antibody [N1C1] detects MPP3 protein at cytoplasm and nucleus in mouse lung by immunohistochemical analysis. Sample: Paraffin-embedded mouse lung. MPP3 antibody [N1C1] (GTX107608) diluted at 1:500.
Antigen Retrieval: Citrate buffer, pH 6.0, 15 min](https://www.genetex.com/upload/website/prouct_img/normal/GTX107608/GTX107608_40016_20150417_IHC_M_2_w_23060120_659.webp)
![MPP3 antibody [N1C1] detects MPP3 protein at cytoplasm and nucleus in mouse brain by immunohistochemical analysis. Sample: Paraffin-embedded mouse brain. MPP3 antibody [N1C1] (GTX107608) diluted at 1:500.
Antigen Retrieval: Citrate buffer, pH 6.0, 15 min MPP3 antibody [N1C1] detects MPP3 protein at cytoplasm and nucleus in mouse brain by immunohistochemical analysis. Sample: Paraffin-embedded mouse brain. MPP3 antibody [N1C1] (GTX107608) diluted at 1:500.
Antigen Retrieval: Citrate buffer, pH 6.0, 15 min](https://www.genetex.com/upload/website/prouct_img/normal/GTX107608/GTX107608_40016_20150417_IHC_M_w_23060120_898.webp)





![FACS analysis of Jurkat cells using GTX84090 MPP3 antibody [8F1]. Red : Primary antibody Blue : Negative control antibody](https://www.genetex.com/upload/website/prouct_img/normal/GTX84090/GTX84090_295_FACS_w_23061420_943.webp)
