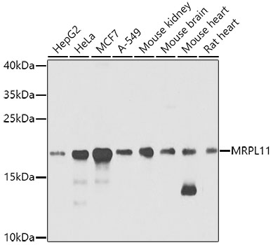
Western blot analysis of extracts of various cell lines using MRPL11 Polyclonal Antibody at 1:1000 dilution.
MRPL11 Polyclonal Antibody
E-AB-62514
Product group Antibodies
Overview
- SupplierElabscience
- Product NameMRPL11 Polyclonal Antibody
- Delivery Days Customer12
- CertificationResearch Use Only
- Scientific DescriptionThis nuclear gene encodes a 39S subunit component of the mitochondial ribosome. Alternative splicing results in multiple transcript variants. Pseudogenes for this gene are found on chromosomes 5 and 12.
- UNSPSC12352203





![MRPL11 antibody [N1C3] detects MRPL11 protein at cytoplasm on human lung carcinoma by immunohistochemical analysis. Sample: Paraffin-embedded lung carcinoma. MRPL11 antibody [N1C3] (GTX118773) dilution: 1:250.
Antigen Retrieval: Trilogy? (EDTA based, pH 8.0) buffer, 15min](https://www.genetex.com/upload/website/prouct_img/normal/GTX118773/GTX118773_40646_IHC_w_23060519_206.webp)