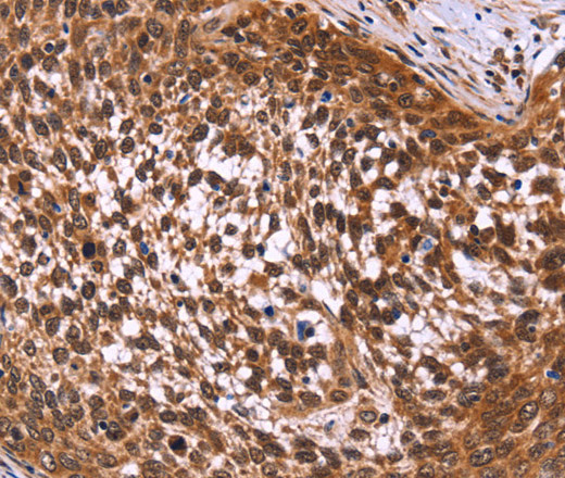
Immunohistochemistry of paraffin-embedded Human colon cancer tissue using MSH4 Polyclonal Antibody at dilution 1:50
MSH4 Polyclonal Antibody
E-AB-14223
Product group Antibodies
Overview
- SupplierElabscience
- Product NameMSH4 Polyclonal Antibody
- Delivery Days Customer12
- Applications SupplierELISA IHC
- CertificationResearch Use Only
- Concentration0.5mg/ml
- Scientific DescriptionThis gene encodes a member of the DNA mismatch repair mutS family. This member is a meiosis-specific protein that is not involved in DNA mismatch correction, but is required for reciprocal recombination and proper segregation of homologous chromosomes at meiosis I. This protein and MSH5 form a heterodimer which binds uniquely to a Holliday Junction and its developmental progenitor, thus provoking ADP-ATP exchange, and stabilizing the interaction between parental chromosomes during meiosis double-stranded break repair.
- UNSPSC12352203




