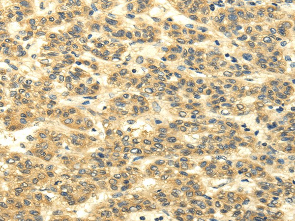
Immunohistochemistry of paraffin-embedded Human liver cancer using MSI1 Polyclonal Antibody at dilution of 1/35
MSI1 Polyclonal Antibody
E-AB-17518
Product group Antibodies
Overview
- SupplierElabscience
- Product NameMSI1 Polyclonal Antibody
- Delivery Days Customer12
- CertificationResearch Use Only
- Scientific DescriptionThis gene encodes a protein containing two conserved tandem RNA recognition motifs. Similar proteins in other species function as RNA-binding proteins and play central roles in posttranscriptional gene regulation. Expression of this gene has been correlated with the grade of the malignancy and proliferative activity in gliomas and melanomas. A pseudogene for this gene is located on chromosome 11q13.
- UNSPSC12352203






![MSI1 antibody [N3C3] detects MSI1 protein at nucleus by immunofluorescent analysis. Sample: HeLa cells were fixed in 4% paraformaldehyde at RT for 15 min. Green: MSI1 protein stained by MSI1 antibody [N3C3] (GTX101540) diluted at 1:500. Red: alpha Tubulin, a cytoskeleton marker, stained by alpha Tubulin antibody [GT114] (GTX628802) diluted at 1:1000.](https://www.genetex.com/upload/website/prouct_img/normal/GTX101540/GTX101540_39911_20150410_IFA_w_23060100_981.webp)
