MT-ND6 Polyclonal Antibody
RD76971A
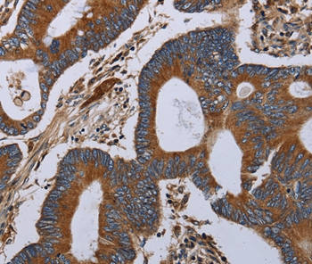
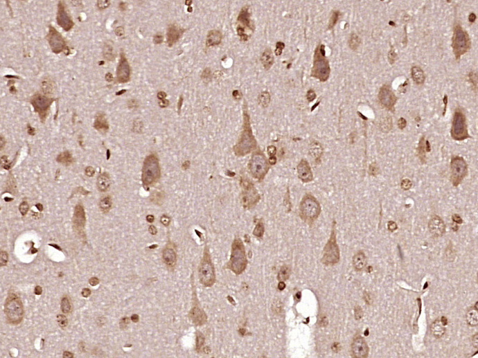
ApplicationsELISA, ImmunoHistoChemistry
Product group Antibodies
ReactivityHuman
TargetND6
Overview
- SupplierReddot Biotech
- Product NameMT-ND6 Polyclonal Antibody
- Delivery Days Customer5
- ApplicationsELISA, ImmunoHistoChemistry
- CertificationResearch Use Only
- ClonalityPolyclonal
- Concentration0.7 mg/ml
- ConjugateUnconjugated
- Gene ID4541
- Target nameND6
- Target descriptionNADH dehydrogenase subunit 6
- Target synonymsMTND6, NADH dehydrogenase subunit 6
- HostRabbit
- IsotypeIgG
- Protein IDP03923
- Protein NameNADH-ubiquinone oxidoreductase chain 6
- Scientific DescriptionNADH:ubiquinone oxidoreductase (complex I) is an extremely complicated multiprotein complex located in the inner mitochondrial membrane. Human complex I is important for energy metabolism because its main function is to transport electrons from NADH to ubiquinone, which is accompanied by translocation of protons from the mitochondrial matrix to the intermembrane space. Human complex I appears to consist of 41 subunits. A small number of complex I subunits are the products of mitochondrial genes (subunits 1-7), while the remainder are nuclear encoded and imported from the cytoplasm. The significance of NADH dehydrogenase subunit 6 (ND6) is rapidly becoming increasingly apparent as many mutations leading to amino acid changes in this subunit are associated with known mitochondrial diseases. - This is a MT-ND6 Polyclonal Antibody from Reddot Biotech. This product is for Research Use Only.
- ReactivityHuman
- Storage Instruction-20°C
- UNSPSC41116161






