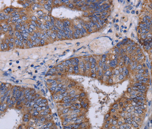
Immunohistochemistry of paraffin-embedded Human colon cancer tissue using MT3 Polyclonal Antibody at dilution 1:50
MT3 Polyclonal Antibody
E-AB-11388
Product group Antibodies
Overview
- SupplierElabscience
- Product NameMT3 Polyclonal Antibody
- Delivery Days Customer12
- Applications SupplierELISA IHC
- CertificationResearch Use Only
- Concentration0.2mg/ml
- Scientific DescriptionMetallothionein (MT) is a sulfhydryl- and cysteine-rich protein found in micro-organisms, plants and all invertebrate and vertebrate animals. Metallothioneins are a group of ubiquitous low-molecular-weight proteins that have functional roles in cell growth, repair and differentiation. Metallothionein are implicated primarily in metal ion detoxification as they are essential for the protection of cells against the toxicity of cadmium, mercury and copper. Metallothioneins are known to be broadly expressed in heart, liver, kidney, breast and testis tissue. Metallothionein 3, also known as MT-3 or GIFB (growth inhibitory factor), is a 68 amino acid protein that belongs to the type 1 family and Metallothionein superfamily. While highly expressed in astrocytes of the normal human brain, Metallothionein 3 expression is reduced in the brains of patients with Alzheimer disease.
- UNSPSC12352203






