
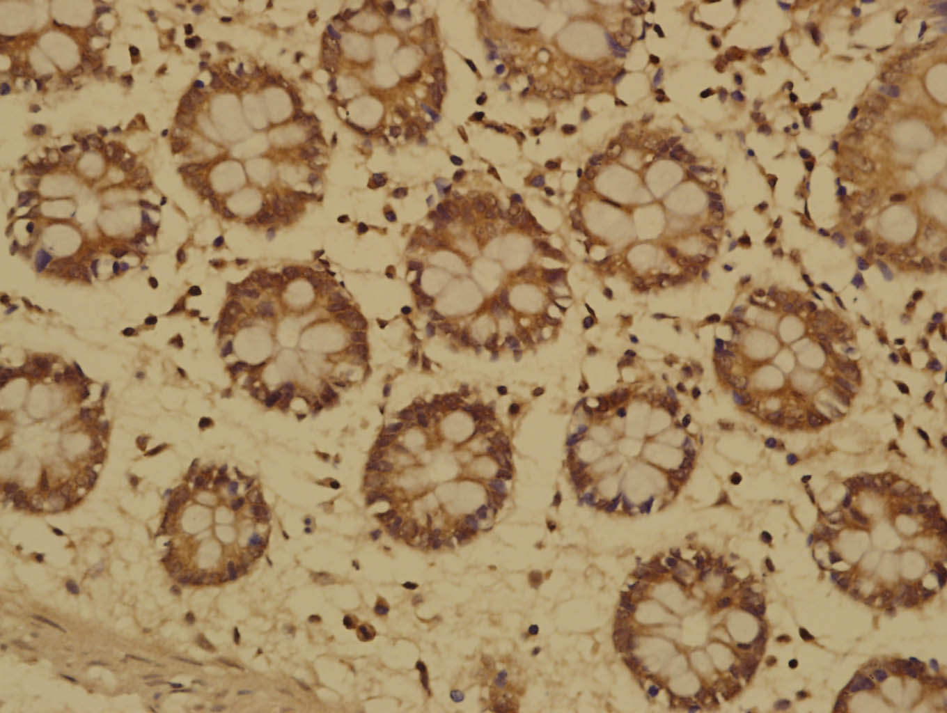
Paraformaldehyde-fixed, paraffin embedded Rat colon; Antigen retrieval by boiling in sodium citrate buffer (pH6.0) for 15min; Block endogenous peroxidase by 3% hydrogen peroxide for 20 minutes; Blocking buffer (normal goat serum) at 37°C for 30min; Antibody incubation with MTM1 Polyclonal Antibody, Unconjugated (bs-9178R) at 1:400 overnight at 4°C, followed by a conjugated secondary antibody for 90 minutes, and DAPI for nuclei staining.
MTM1 Polyclonal Antibody
BS-9178R
ApplicationsFlow Cytometry, ImmunoFluorescence, Western Blot, ImmunoHistoChemistry, ImmunoHistoChemistry Paraffin
Product group Antibodies
ReactivityCanine, Human, Mouse, Porcine, Rabbit, Rat
TargetMTM1
Overview
- SupplierBioss
- Product NameMTM1 Polyclonal Antibody
- Delivery Days Customer16
- ApplicationsFlow Cytometry, ImmunoFluorescence, Western Blot, ImmunoHistoChemistry, ImmunoHistoChemistry Paraffin
- Applications SupplierWB(1:300-5000), FCM(1:20-100), IHC-P(1:200-400), IF(IHC-P)(1:50-200)
- CertificationResearch Use Only
- ClonalityPolyclonal
- Concentration1 ug/ul
- ConjugateUnconjugated
- Gene ID4534
- Target nameMTM1
- Target descriptionmyotubularin 1
- Target synonymsCNM, CNMX, MTMX, XLMTM, myotubularin, phosphatidylinositol-3,5-bisphosphate 3-phosphatase, phosphatidylinositol-3-phosphate phosphatase
- HostRabbit
- IsotypeIgG
- Protein IDQ13496
- Protein NameMyotubularin
- ReactivityCanine, Human, Mouse, Porcine, Rabbit, Rat
- Storage Instruction-20°C
- UNSPSC41116161









