
Immunofluorescence analysis of paraformaldehyde-fixed HeLa, using MTMR9(GTX108078) antibody at 1:200 dilution.
MTMR9 antibody [C3], C-term
GTX108078
ApplicationsImmunoFluorescence, Western Blot, ImmunoCytoChemistry, ImmunoHistoChemistry, ImmunoHistoChemistry Paraffin
Product group Antibodies
ReactivityHuman, Mouse
TargetMTMR9
Overview
- SupplierGeneTex
- Product NameMTMR9 antibody [C3], C-term
- Delivery Days Customer9
- Application Supplier NoteWB: 1:500-1:3000. ICC/IF: 1:100-1:1000. IHC-P: 1:100-1:1000. *Optimal dilutions/concentrations should be determined by the researcher.Not tested in other applications.
- ApplicationsImmunoFluorescence, Western Blot, ImmunoCytoChemistry, ImmunoHistoChemistry, ImmunoHistoChemistry Paraffin
- CertificationResearch Use Only
- ClonalityPolyclonal
- Concentration0.7 mg/ml
- ConjugateUnconjugated
- Gene ID66036
- Target nameMTMR9
- Target descriptionmyotubularin related protein 9
- Target synonymsC8orf9, LIP-STYX, MTMR8, myotubularin-related protein 9, inactive phosphatidylinositol 3-phosphatase 9, myotubularin related protein 8
- HostRabbit
- IsotypeIgG
- Protein IDQ96QG7
- Protein NameMyotubularin-related protein 9
- Scientific DescriptionThis gene encodes a myotubularin-related protein that is atypical to most other members of the myotubularin-related protein family because it has no dual-specificity phosphatase domain. The encoded protein contains a double-helical motif similar to the SET interaction domain, which is thought to have a role in the control of cell proliferation. In mouse, a protein similar to the encoded protein binds with MTMR7, and together they dephosphorylate phosphatidylinositol 3-phosphate and inositol 1,3-bisphosphate. [provided by RefSeq]
- ReactivityHuman, Mouse
- Storage Instruction-20°C or -80°C,2°C to 8°C
- UNSPSC41116161
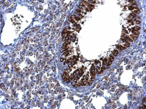
![MTMR9 antibody [C3], C-term detects MTMR9 protein at cytoplasm on mouse lung by immunohistochemical analysis. Sample: Paraffin-embedded mouse lung. MTMR9 antibody [C3], C-term (GTX108078) diluted at 1:500.
Antigen Retrieval: Trilogy? (EDTA based, pH 8.0) buffer, 15min MTMR9 antibody [C3], C-term detects MTMR9 protein at cytoplasm on mouse lung by immunohistochemical analysis. Sample: Paraffin-embedded mouse lung. MTMR9 antibody [C3], C-term (GTX108078) diluted at 1:500.
Antigen Retrieval: Trilogy? (EDTA based, pH 8.0) buffer, 15min](https://www.genetex.com/upload/website/prouct_img/normal/GTX108078/GTX108078_39742_20141120_IHC_M_w_23060120_368.webp)









