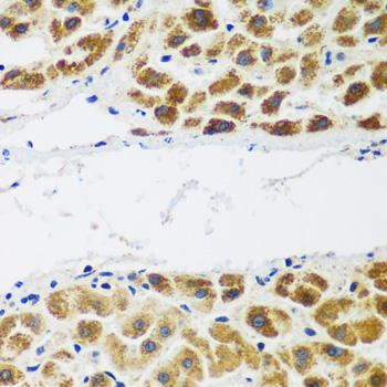
Immunohistochemistry of paraffin-embedded Human liver cancer using NAA60 Polyclonal Antibody at dilution of 1:200 (40x lens).
NAA60 Polyclonal Antibody
E-AB-62526
Product group Antibodies
Overview
- SupplierElabscience
- Product NameNAA60 Polyclonal Antibody
- Delivery Days Customer12
- CertificationResearch Use Only
- Scientific DescriptionThis gene encodes an enzyme that localizes to the Golgi apparatus, where it transfers an acetyl group to the N-terminus of free proteins. This enzyme acts on histones, and its activity is important for chromatin assembly and chromosome integrity. Alternative splicing and the use of alternative promoters results in multiple transcript variants. The upstream promoter is located in a differentially methylated region (DMR) and undergoes imprinting; transcript variants originating from this position are expressed from the maternal allele.
- UNSPSC12352203






