
Rat tissue extract (50 μg) was separated by 7.5% SDS-PAGE, and the membrane was blotted with NF-L antibody (GTX134075) diluted at 1:2000. The HRP-conjugated anti-rabbit IgG antibody (GTX213110-01) was used to detect the primary antibody.
NF-L antibody
GTX134075
ApplicationsWestern Blot, ImmunoHistoChemistry, ImmunoHistoChemistry Frozen, ImmunoHistoChemistry Paraffin
Product group Antibodies
ReactivityMouse, Rat
TargetNefl
Overview
- SupplierGeneTex
- Product NameNF-L antibody
- Delivery Days Customer9
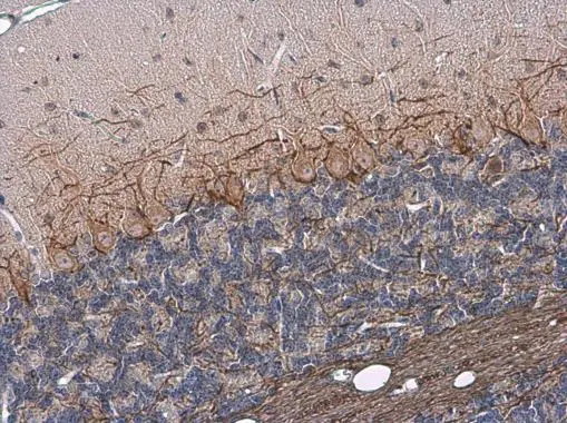
- Application Supplier NoteWB: 1:500-1:3000. IHC-P: 1:100-1:1000. IHC-Fr: 1:100-1:1000. *Optimal dilutions/concentrations should be determined by the researcher.Not tested in other applications.
- ApplicationsWestern Blot, ImmunoHistoChemistry, ImmunoHistoChemistry Frozen, ImmunoHistoChemistry Paraffin
- CertificationResearch Use Only
- ClonalityPolyclonal
- Concentration0.14 mg/ml
- ConjugateUnconjugated
- Gene ID18039
- Target nameNefl
- Target descriptionneurofilament, light polypeptide
- Target synonymsCMT2E, NF-L, NF68, Nfl, neurofilament light polypeptide, 68 kDa neurofilament protein, neurofilament triplet L protein
- HostRabbit
- IsotypeIgG
- Protein IDP08551
- Protein NameNeurofilament light polypeptide
- Scientific DescriptionNeurofilaments usually contain three intermediate filament proteins: L, M, and H which are involved in the maintenance of neuronal caliber.
- ReactivityMouse, Rat
- Storage Instruction-20°C or -80°C,2°C to 8°C
- UNSPSC41116161



