![Mouse tissue extract (50 μg) was separated by 10% SDS-PAGE, and the membrane was blotted with NFIB antibody [N1C2] (GTX105749) diluted at 1:3000. The HRP-conjugated anti-rabbit IgG antibody (GTX213110-01) was used to detect the primary antibody. Mouse tissue extract (50 μg) was separated by 10% SDS-PAGE, and the membrane was blotted with NFIB antibody [N1C2] (GTX105749) diluted at 1:3000. The HRP-conjugated anti-rabbit IgG antibody (GTX213110-01) was used to detect the primary antibody.](https://www.genetex.com/upload/website/prouct_img/normal/GTX105749/GTX105749_39757_20230526_WB_M_brain_23053001_935.webp)
Mouse tissue extract (50 μg) was separated by 10% SDS-PAGE, and the membrane was blotted with NFIB antibody [N1C2] (GTX105749) diluted at 1:3000. The HRP-conjugated anti-rabbit IgG antibody (GTX213110-01) was used to detect the primary antibody.
NFIB antibody [N1C2]
GTX105749
ApplicationsWestern Blot, ImmunoHistoChemistry, ImmunoHistoChemistry Paraffin
Product group Antibodies
ReactivityHuman, Mouse
TargetNFIB
Overview
- SupplierGeneTex
- Product NameNFIB antibody [N1C2]
- Delivery Days Customer9
- Application Supplier NoteWB: 1:500-1:3000. IHC-P: 1:100-1:1000. *Optimal dilutions/concentrations should be determined by the researcher.Not tested in other applications.
- ApplicationsWestern Blot, ImmunoHistoChemistry, ImmunoHistoChemistry Paraffin
- CertificationResearch Use Only
- ClonalityPolyclonal
- Concentration0.57 mg/ml
- ConjugateUnconjugated
- Gene ID4781
- Target nameNFIB
- Target descriptionnuclear factor I B
- Target synonymsCTF, HMGIC/NFIB, MACID, NF-I/B, NF1-B, NFI-B, NFI-RED, NFIB2, NFIB3, nuclear factor 1 B-type, CCAAT-box-binding transcription factor, TGGCA-binding protein, nuclear factor 1/B
- HostRabbit
- IsotypeIgG
- Protein IDO00712
- Protein NameNuclear factor 1 B-type
- Scientific DescriptionRecognizes and binds the palindromic sequence 5-TTGGCNNNNNGCCAA-3 present in viral and cellular promoters and in the origin of replication of adenovirus type 2. These proteins are individually capable of activating transcription and replication.
- ReactivityHuman, Mouse
- Storage Instruction-20°C or -80°C,2°C to 8°C
- UNSPSC41116161
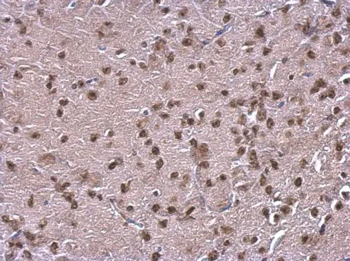
![NFIB antibody [N1C2] detects NFIB protein at nucleus on mouse fore brain by immunohistochemical analysis. Sample: Paraffin-embedded mouse fore brain. NFIB antibody [N1C2] (GTX105749) dilution: 1:500.
Antigen Retrieval: Trilogy? (EDTA based, pH 8.0) buffer, 15min NFIB antibody [N1C2] detects NFIB protein at nucleus on mouse fore brain by immunohistochemical analysis. Sample: Paraffin-embedded mouse fore brain. NFIB antibody [N1C2] (GTX105749) dilution: 1:500.
Antigen Retrieval: Trilogy? (EDTA based, pH 8.0) buffer, 15min](https://www.genetex.com/upload/website/prouct_img/normal/GTX105749/GTX105749_39757_IHC_M_2_w_23060120_548.webp)

![NFIB antibody [N1C2] detects NFIB protein at nucleus on mouse fore brain by immunohistochemical analysis. Sample: Paraffin-embedded mouse fore brain. NFIB antibody [N1C2] (GTX105749) dilution: 1:500.
Antigen Retrieval: Trilogy? (EDTA based, pH 8.0) buffer, 15min NFIB antibody [N1C2] detects NFIB protein at nucleus on mouse fore brain by immunohistochemical analysis. Sample: Paraffin-embedded mouse fore brain. NFIB antibody [N1C2] (GTX105749) dilution: 1:500.
Antigen Retrieval: Trilogy? (EDTA based, pH 8.0) buffer, 15min](https://www.genetex.com/upload/website/prouct_img/normal/GTX105749/GTX105749_39757_IHC_M_w_23060120_273.webp)



