
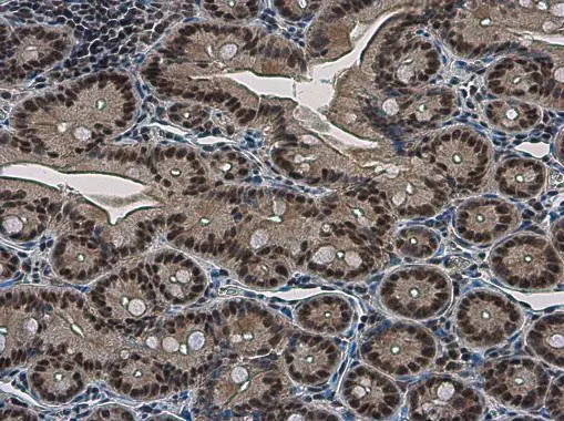
Immunohistochemical analysis of paraffin-embedded zebrafish tissue, using NFYB antibody (GTX121922) at 1:300 dilution.
NFYB antibody
GTX121922
ApplicationsImmunoFluorescence, ImmunoPrecipitation, Western Blot, ChIP Chromatin ImmunoPrecipitation, ImmunoCytoChemistry, ImmunoHistoChemistry, ImmunoHistoChemistry Paraffin
Product group Antibodies
ReactivityHuman, Mouse, Rat, Zebra Fish
TargetNFYB
Overview
- SupplierGeneTex
- Product NameNFYB antibody
- Delivery Days Customer9
- Application Supplier NoteWB: 1:500-1:3000. ICC/IF: 1:100-1:1000. IHC-P: 1:100-1:1000. IP: 1:100-1:500. *Optimal dilutions/concentrations should be determined by the researcher.Not tested in other applications.
- ApplicationsImmunoFluorescence, ImmunoPrecipitation, Western Blot, ChIP Chromatin ImmunoPrecipitation, ImmunoCytoChemistry, ImmunoHistoChemistry, ImmunoHistoChemistry Paraffin
- CertificationResearch Use Only
- ClonalityPolyclonal
- Concentration0.42 mg/ml
- ConjugateUnconjugated
- Gene ID4801
- Target nameNFYB
- Target descriptionnuclear transcription factor Y subunit beta
- Target synonymsCBF-A, CBF-B, HAP3, NF-YB, nuclear transcription factor Y subunit beta, CAAT box DNA-binding protein subunit B, CCAAT-binding transcription factor subunit A, Transcription factor NF-Y, B subunit, nuclear transcription factor Y subunit B, nuclear transcription factor Y, beta
- HostRabbit
- IsotypeIgG
- Protein IDP25208
- Protein NameNuclear transcription factor Y subunit beta
- Scientific DescriptionThe protein encoded by this gene is one subunit of a trimeric complex, forming a highly conserved transcription factor that binds with high specificity to CCAAT motifs in the promoter regions in a variety of genes. This gene product, subunit B, forms a tight dimer with the C subunit, a prerequisite for subunit A association. The resulting trimer binds to DNA with high specificity and affinity. Subunits B and C each contain a histone-like motif. Observation of the histone nature of these subunits is supported by two types of evidence; protein sequence alignments and experiments with mutants. [provided by RefSeq]
- ReactivityHuman, Mouse, Rat, Zebra Fish
- Storage Instruction-20°C or -80°C,2°C to 8°C
- UNSPSC12352203
References
- Li D, Liu J, Yang C, et al. Targeting long noncoding RNA PMIF facilitates osteoprogenitor cells migrating to bone formation surface to promote bone formation during aging. Theranostics. 2021,11(11):5585-5604. doi: 10.7150/thno.54477Read this paper














![NFYB antibody [N1C3-2] detects NFYB protein at nucleus in mouse liver by immunohistochemical analysis. Sample: Paraffin-embedded mouse liver. NFYB antibody [N1C3-2] (GTX114585) diluted at 1:500.
Antigen Retrieval: Citrate buffer, pH 6.0, 15 min](https://www.genetex.com/upload/website/prouct_img/normal/GTX114585/GTX114585_40205_20150612_IHC_M_w_23060518_981.webp)