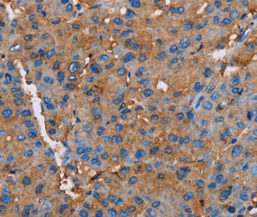
Immunohistochemistry of paraffin-embedded Human liver cancer tissue using NLGN1 Polyclonal Antibody at dilution 1:50
NLGN1 Polyclonal Antibody
E-AB-15253
Product group Antibodies
Overview
- SupplierElabscience
- Product NameNLGN1 Polyclonal Antibody
- Delivery Days Customer12
- Applications SupplierELISA IHC
- CertificationResearch Use Only
- Concentration0.4mg/ml
- Scientific DescriptionThis gene encodes a member of a family of neuronal cell surface proteins. Members of this family may act as splice site-specific ligands for beta-neurexins and may be involved in the formation and remodeling of central nervous system synapses.
- UNSPSC12352203







