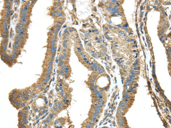
Immunohistochemistry of paraffin-embedded Human thyroid cancer using NME2 Polyclonal Antibody at dilution of 1/40
NME2 Polyclonal Antibody
E-AB-17456
Product group Antibodies
Overview
- SupplierElabscience
- Product NameNME2 Polyclonal Antibody
- Delivery Days Customer12
- CertificationResearch Use Only
- Scientific DescriptionNucleoside diphosphate kinase (NDK) exists as a hexamer composed of A (encoded by NME1) and B (encoded by this gene) isoforms. Multiple alternatively spliced transcript variants have been found for this gene. Read-through transcription from the neighboring upstream gene (NME1) generates naturally-occurring transcripts (NME1-NME2) that encode a fusion protein comprised of sequence sharing identity with each individual gene product.
- UNSPSC12352203



