
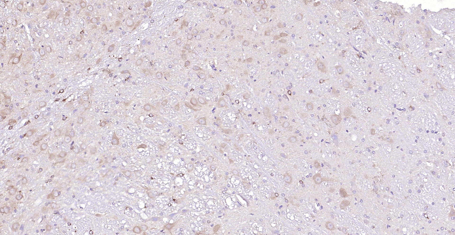
Paraformaldehyde-fixed, paraffin embedded (mouse cerebellum); Antigen retrieval by boiling in sodium citrate buffer (pH6.0) for 15min; Block endogenous peroxidase by 3% hydrogen peroxide for 20 minutes; Blocking buffer (normal goat serum) at 37°C for 30min; Antibody incubation with (NUAK2) Polyclonal Antibody, Unconjugated (bs-5811R) at 1:200 overnight at 4°C, followed by operating according to SP Kit(Rabbit) (sp-0023) instructionsand DAB staining.
NUAK2 Polyclonal Antibody
BS-5811R
ApplicationsImmunoFluorescence, Western Blot, ELISA, ImmunoCytoChemistry, ImmunoHistoChemistry, ImmunoHistoChemistry Frozen, ImmunoHistoChemistry Paraffin
Product group Antibodies
ReactivityBovine, Canine, Human, Mouse, Rabbit, Rat
TargetNUAK2
Overview
- SupplierBioss
- Product NameNUAK2 Polyclonal Antibody
- Delivery Days Customer16
- ApplicationsImmunoFluorescence, Western Blot, ELISA, ImmunoCytoChemistry, ImmunoHistoChemistry, ImmunoHistoChemistry Frozen, ImmunoHistoChemistry Paraffin
- Applications SupplierWB(1:300-5000), ELISA(1:500-1000), IHC-P(1:200-400), IHC-F(1:100-500), IF(IHC-P)(1:50-200), IF(IHC-F)(1:50-200), IF(ICC)(1:50-200)
- CertificationResearch Use Only
- ClonalityPolyclonal
- Concentration1 ug/ul
- ConjugateUnconjugated
- Gene ID81788
- Target nameNUAK2
- Target descriptionNUAK family kinase 2
- Target synonymsANPH2, SNARK, NUAK family SNF1-like kinase 2, NUAK family, SNF1-like kinase, 2, SNF1/AMP activated protein kinase, SNF1/AMP kinase-related kinase, omphalocele kinase 2
- HostRabbit
- IsotypeIgG
- Protein IDQ9H093
- Protein NameNUAK family SNF1-like kinase 2
- ReactivityBovine, Canine, Human, Mouse, Rabbit, Rat
- Storage Instruction-20°C
- UNSPSC41116161






