
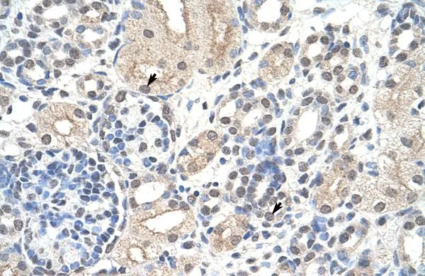
IHC-P analysis of human kidney tissue using GTX47364 NCL antibody at 4.0-8.0microg/ml.
Nucleolin antibody, N-term
GTX47364
ApplicationsWestern Blot, ImmunoHistoChemistry, ImmunoHistoChemistry Paraffin
Product group Antibodies
TargetNCL
Overview
- SupplierGeneTex
- Product NameNucleolin antibody, N-term
- Delivery Days Customer9
- Application Supplier NoteWB: 0.2-2.5 ug/ml. IHC-P: 2-10 ug/ml. *Optimal dilutions/concentrations should be determined by the researcher.Not tested in other applications.
- ApplicationsWestern Blot, ImmunoHistoChemistry, ImmunoHistoChemistry Paraffin
- CertificationResearch Use Only
- ClonalityPolyclonal
- Concentration0.5-1 mg/ml
- ConjugateUnconjugated
- Gene ID4691
- Target nameNCL
- Target descriptionnucleolin
- Target synonymsC23, Nsr1, nucleolin
- HostRabbit
- IsotypeIgG
- Protein IDP19338
- Protein NameNucleolin
- Scientific DescriptionNucleolin (NCL), a eukaryotic nucleolar phosphoprotein, is involved in the synthesis and maturation of ribosomes. It is located mainly in dense fibrillar regions of the nucleolus. Human NCL gene consists of 14 exons with 13 introns and spans approximately 11kb. The intron 11 of the NCL gene encodes a small nucleolar RNA, termed U20. [provided by RefSeq, Jul 2008]
- Storage Instruction-20°C or -80°C,2°C to 8°C
- UNSPSC12352203



![WB analysis of HeLa nuclear extract using GTX14966 Nucleolin antibody [4i51]. Dilution : 1:5000](https://www.genetex.com/upload/website/prouct_img/normal/GTX14966/GTX14966_20191203_WB_47_w_23060620_235.webp)
![FACS analysis of Jurkat cells using GTX34914 Nucleolin antibody [NCL/902]. Grey : Isotype Control Other : Primary antibody](https://www.genetex.com/upload/website/prouct_img/normal/GTX34914/GTX34914_20200115_FACS_1483_w_23060801_523.webp)
![FACS analysis of PFA-fixed K562 cells using GTX34915 Nucleolin antibody [SPM614]. Blue : Primary antibody Red : Isotype control](https://www.genetex.com/upload/website/prouct_img/normal/GTX34915/GTX34915_20200115_FACS_1710_w_23060801_857.webp)
![FACS analysis of 293T cells using GTX34916 Nucleolin antibody [364-5]. Black : Blank Grey : Isotype Control Green : Primary antibody](https://www.genetex.com/upload/website/prouct_img/normal/GTX34916/GTX34916_20200115_FACS_28_w_23060801_742.webp)

