
Sample (50 μg of whole cell lysate) A: Mouse brain 7.5% SDS PAGE GTX105124 diluted at 1:5000 The HRP-conjugated anti-rabbit IgG antibody (GTX213110-01) was used to detect the primary antibody.
OGDH antibody [C2C3], C-term
GTX105124
ApplicationsImmunoFluorescence, Western Blot, ImmunoCytoChemistry, ImmunoHistoChemistry, ImmunoHistoChemistry Paraffin
Product group Antibodies
ReactivityHuman, Mouse
TargetOGDH
Overview
- SupplierGeneTex
- Product NameOGDH antibody [C2C3], C-term
- Delivery Days Customer9
- Application Supplier NoteWB: 1:500-1:10000. ICC/IF: 1:100-1:1000. IHC-P: 1:100-1:1000. *Optimal dilutions/concentrations should be determined by the researcher.Not tested in other applications.
- ApplicationsImmunoFluorescence, Western Blot, ImmunoCytoChemistry, ImmunoHistoChemistry, ImmunoHistoChemistry Paraffin
- CertificationResearch Use Only
- ClonalityPolyclonal
- Concentration0.3 mg/ml
- ConjugateUnconjugated
- Gene ID4967
- Target nameOGDH
- Target descriptionoxoglutarate dehydrogenase
- Target synonymsAKGDH, E1k, E1o, HsOGDH, KGD1, OGDC, OGDH-E1, OGDH2, OGDHD, 2-oxoglutarate dehydrogenase complex component E1, 2-oxoglutarate dehydrogenase, mitochondrial, OGDC-E1, alpha-KGDH-E1, oxoglutarate (alpha-ketoglutarate) dehydrogenase (lipoamide), oxoglutarate decarboxylase, oxoglutarate dehydrogenase (succinyl-transferring), testicular tissue protein Li 131, thiamine diphosphate (ThDP)-dependent 2-oxoglutarate dehydrogenase
- HostRabbit
- IsotypeIgG
- Protein IDQ02218
- Protein Name2-oxoglutarate dehydrogenase complex component E1
- Scientific DescriptionThis gene encodes one subunit of the 2-oxoglutarate dehydrogenase complex. This complex catalyzes the overall conversion of 2-oxoglutarate (alpha-ketoglutarate) to succinyl-CoA and CO(2) during the Krebs cycle. The protein is located in the mitocondrial matrix and uses thiamine pyrophosphate as a cofactor. A congential deficiency in 2-oxoglutarate dehydrogenase activity is believed to lead to hypotonia, metabolic acidosis, and hyperlactatemia. [provided by RefSeq]
- ReactivityHuman, Mouse
- Storage Instruction-20°C or -80°C,2°C to 8°C
- UNSPSC41116161

![OGDH antibody [C2C3], C-term detects OGDH protein at cytoplasm by immunohistochemical analysis. Sample: Paraffin-embedded mouse heart. OGDH stained by OGDH antibody [C2C3], C-term (GTX105124) diluted at 1:500. Antigen Retrieval: Citrate buffer, pH 6.0, 15 min OGDH antibody [C2C3], C-term detects OGDH protein at cytoplasm by immunohistochemical analysis. Sample: Paraffin-embedded mouse heart. OGDH stained by OGDH antibody [C2C3], C-term (GTX105124) diluted at 1:500. Antigen Retrieval: Citrate buffer, pH 6.0, 15 min](https://www.genetex.com/upload/website/prouct_img/normal/GTX105124/GTX105124_43530_20211022_IHC-P_M_w_23060120_509.webp)
![OGDH antibody [C2C3], C-term detects OGDH protein at mitochondria by immunofluorescent analysis. Sample: HeLa cells were fixed in ice-cold MeOH for 5 min. Green: OGDH stained by OGDH antibody [C2C3], C-term (GTX105124) diluted at 1:200. Blue: Fluoroshield with DAPI (GTX30920). Scale bar= 10 μm. OGDH antibody [C2C3], C-term detects OGDH protein at mitochondria by immunofluorescent analysis. Sample: HeLa cells were fixed in ice-cold MeOH for 5 min. Green: OGDH stained by OGDH antibody [C2C3], C-term (GTX105124) diluted at 1:200. Blue: Fluoroshield with DAPI (GTX30920). Scale bar= 10 μm.](https://www.genetex.com/upload/website/prouct_img/normal/GTX105124/GTX105124_43551_20200212_ICC_IF_w_23060120_931.webp)
![Various whole cell extracts (30 μg) were separated by 7.5% SDS-PAGE, and the membrane was blotted with OGDH antibody [C2C3], C-term (GTX105124) diluted at 1:1000. The HRP-conjugated anti-rabbit IgG antibody (GTX213110-01) was used to detect the primary antibody. Various whole cell extracts (30 μg) were separated by 7.5% SDS-PAGE, and the membrane was blotted with OGDH antibody [C2C3], C-term (GTX105124) diluted at 1:1000. The HRP-conjugated anti-rabbit IgG antibody (GTX213110-01) was used to detect the primary antibody.](https://www.genetex.com/upload/website/prouct_img/normal/GTX105124/GTX105124_43530_20190329_WB_w_23060120_290.webp)
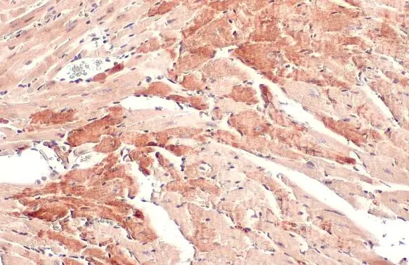
![OGDH antibody [C2C3], C-term detects OGDH protein at cytoplasm by immunohistochemical analysis. Sample: Paraffin-embedded mouse muscle. OGDH stained by OGDH antibody [C2C3], C-term (GTX105124) diluted at 1:500. Antigen Retrieval: Citrate buffer, pH 6.0, 15 min OGDH antibody [C2C3], C-term detects OGDH protein at cytoplasm by immunohistochemical analysis. Sample: Paraffin-embedded mouse muscle. OGDH stained by OGDH antibody [C2C3], C-term (GTX105124) diluted at 1:500. Antigen Retrieval: Citrate buffer, pH 6.0, 15 min](https://www.genetex.com/upload/website/prouct_img/normal/GTX105124/GTX105124_43530_20211022_IHC-P_M_1_w_23060120_158.webp)

![OGDH antibody [C2C3], C-term detects OGDH protein at mitochondria on mouse muscle by immunohistochemical analysis. Sample: Paraffin-embedded mouse muscle. OGDH antibody [C2C3], C-term (GTX105124) dilution: 1:500.
Antigen Retrieval: Trilogy? (EDTA based, pH 8.0) buffer, 15min OGDH antibody [C2C3], C-term detects OGDH protein at mitochondria on mouse muscle by immunohistochemical analysis. Sample: Paraffin-embedded mouse muscle. OGDH antibody [C2C3], C-term (GTX105124) dilution: 1:500.
Antigen Retrieval: Trilogy? (EDTA based, pH 8.0) buffer, 15min](https://www.genetex.com/upload/website/prouct_img/normal/GTX105124/GTX105124_41052_IHC_M_w_23060120_222.webp)





![Non-transfected (–) and transfected (+) 293T whole cell extracts (30 μg) were separated by 7.5% SDS-PAGE, and the membrane was blotted with OGDH antibody [HL2072] (GTX637980) diluted at 1:5000. The HRP-conjugated anti-rabbit IgG antibody (GTX213110-01) was used to detect the primary antibody.](https://www.genetex.com/upload/website/prouct_img/normal/GTX637980/GTX637980_T-44893_20240202_WB_multiple_B_24021917_358.webp)
