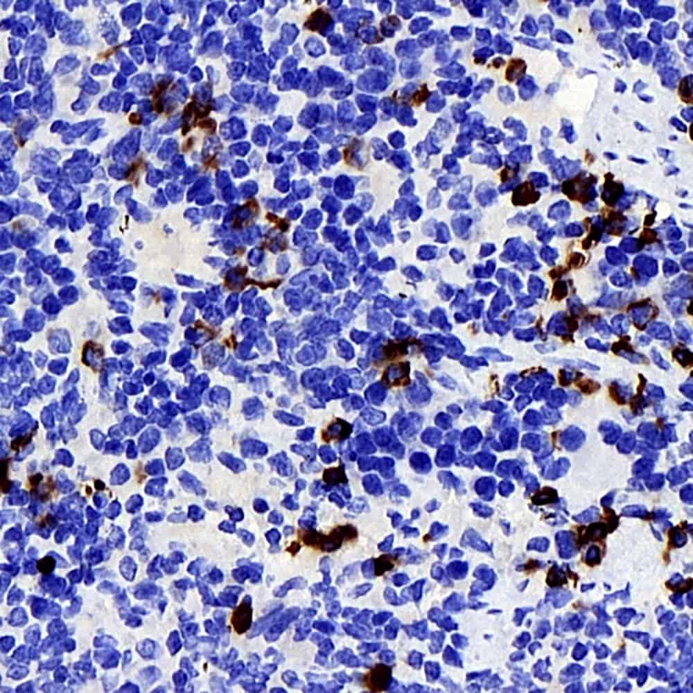
Immunohistochemistry analysis of parafffin-embedded mouse spleen using P2RX3 Polyclonal Antibody at dilution of 1:400.
P2RX3 Polyclonal Antibody
E-AB-70216
Product group Antibodies
Overview
- SupplierElabscience
- Product NameP2RX3 Polyclonal Antibody
- Delivery Days Customer12
- CertificationResearch Use Only
- Scientific DescriptionThe product of this gene belongs to the family of purinoceptors for ATP. This receptor functions as a ligand-gated ion channel and may transduce ATP-evoked nociceptor activation. Mouse studies suggest that this receptor is important for peripheral pain responses, and also participates in pathways controlling urinary bladder volume reflexes. It is possible that the development of selective antagonists for this receptor may have a therapeutic potential in pain relief and in the treatment of disorders of urine storage.
- UNSPSC12352203
