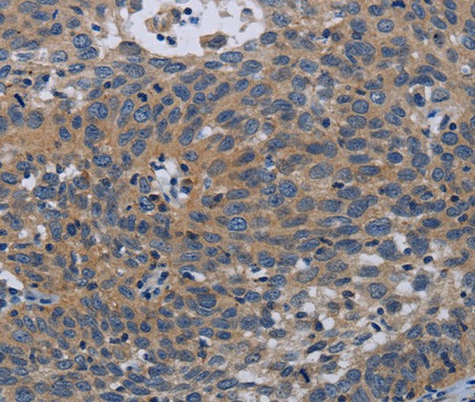
Immunohistochemistry of paraffin-embedded Human cervical cancer tissue using PAPPA Polyclonal Antibody at dilution of 1:50
PAPPA Polyclonal Antibody
E-AB-16680
Product group Antibodies
Overview
- SupplierElabscience
- Product NamePAPPA Polyclonal Antibody
- Delivery Days Customer12
- Applications SupplierELISA IHC
- CertificationResearch Use Only
- Concentration0.3mg/ml
- Scientific DescriptionThis gene encodes a secreted metalloproteinase which cleaves insulin-like growth factor binding proteins (IGFBPs). It is thought to be involved in local proliferative processes such as wound healing and bone remodeling. Low plasma level of this protein has been suggested as a biochemical marker for pregnancies with aneuploid fetuses.
- UNSPSC12352203





![IHC-P analysis of human placenta tissue using GTX04437 PAPP A antibody [MSVA-780M] HistoMAX?. Strong papp A immunostaining of trophoblast cells of a first trimenon placenta.](https://www.genetex.com/upload/website/prouct_img/normal/GTX04437/GTX04437_20230728_IHC-P_92_23072722_835.webp)

