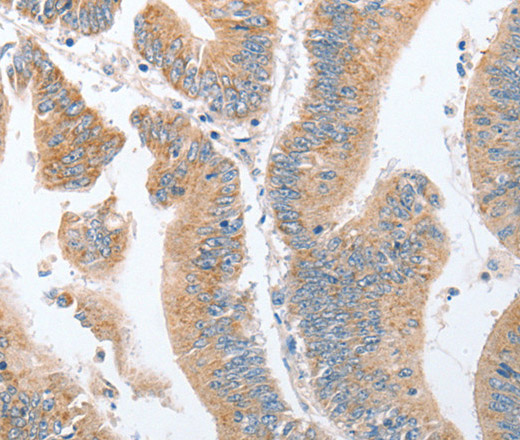
Immunohistochemistry of paraffin-embedded Human colon cancer tissue using PARD6A Polyclonal Antibody at dilution 1:60
PARD6A Polyclonal Antibody
E-AB-10525
ApplicationsImmunoHistoChemistry
Product group Antibodies
TargetPARD6A
Overview
- SupplierElabscience
- Product NamePARD6A Polyclonal Antibody
- Delivery Days Customer12
- ApplicationsImmunoHistoChemistry
- Applications SupplierELISA IHC
- CertificationResearch Use Only
- ClonalityPolyclonal
- Concentration0.5 mg/ml
- ConjugateUnconjugated
- Gene ID50855
- Target namePARD6A
- Target descriptionpar-6 family cell polarity regulator alpha
- Target synonymsPAR-6A, PAR6, PAR6C, PAR6alpha, TAX40, TIP-40, partitioning defective 6 homolog alpha, PAR-6 alpha, Tax-interacting protein 40, par-6 partitioning defective 6 homolog alpha, partitioning-defective protein 6, tax interaction protein 40
- HostRabbit
- IsotypeIgG
- Protein IDQ9NPB6
- Protein NamePartitioning defective 6 homolog alpha
- Scientific DescriptionThis gene is a member of the PAR6 family and encodes a protein with a PSD95/Discs-large/ZO1 (PDZ) domain and a semi-Cdc42/Rac interactive binding (CRIB) domain. This cell membrane protein is involved in asymmetrical cell division and cell polarization processes as a member of a multi-protein complex. The protein also has a role in the epithelial-to-mesenchymal transition (EMT) that characterizes the invasive phenotype associated with metastatic carcinomas. Alternate transcriptional splice variants, encoding different isoforms, have been characterized.
- Storage Instruction-20°C
- UNSPSC41116161






