
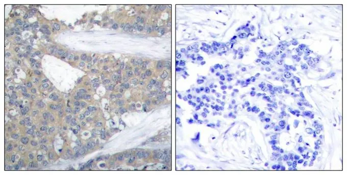
IHC-P analysis of human breast carcinoma tissue using GTX50528 Paxillin antibody. Left : Primary antibody Right : Primary antibody pre-incubated with the antigen specific peptide
Paxillin antibody
GTX50528
ApplicationsWestern Blot, ImmunoHistoChemistry, ImmunoHistoChemistry Paraffin
Product group Antibodies
ReactivityHuman
TargetPXN
Overview
- SupplierGeneTex
- Product NamePaxillin antibody
- Delivery Days Customer9
- Application Supplier NoteWB: 1:500-1:1000. IHC-P: 1:50-1:100. *Optimal dilutions/concentrations should be determined by the researcher.Not tested in other applications.
- ApplicationsWestern Blot, ImmunoHistoChemistry, ImmunoHistoChemistry Paraffin
- CertificationResearch Use Only
- ClonalityPolyclonal
- Concentration1 mg/ml
- ConjugateUnconjugated
- Gene ID5829
- Target namePXN
- Target descriptionpaxillin
- Target synonymspaxillin, testicular tissue protein Li 134
- HostRabbit
- IsotypeIgG
- Protein IDP49023
- Protein NamePaxillin
- Scientific DescriptionThis gene encodes a cytoskeletal protein involved in actin-membrane attachment at sites of cell adhesion to the extracellular matrix (focal adhesion). Alternatively spliced transcript variants encoding different isoforms have been described for this gene. These isoforms exhibit different expression pattern, and have different biochemical, as well as physiological properties (PMID:9054445). [provided by RefSeq, Aug 2011]
- ReactivityHuman
- Storage Instruction-20°C or -80°C,2°C to 8°C
- UNSPSC12352203






