
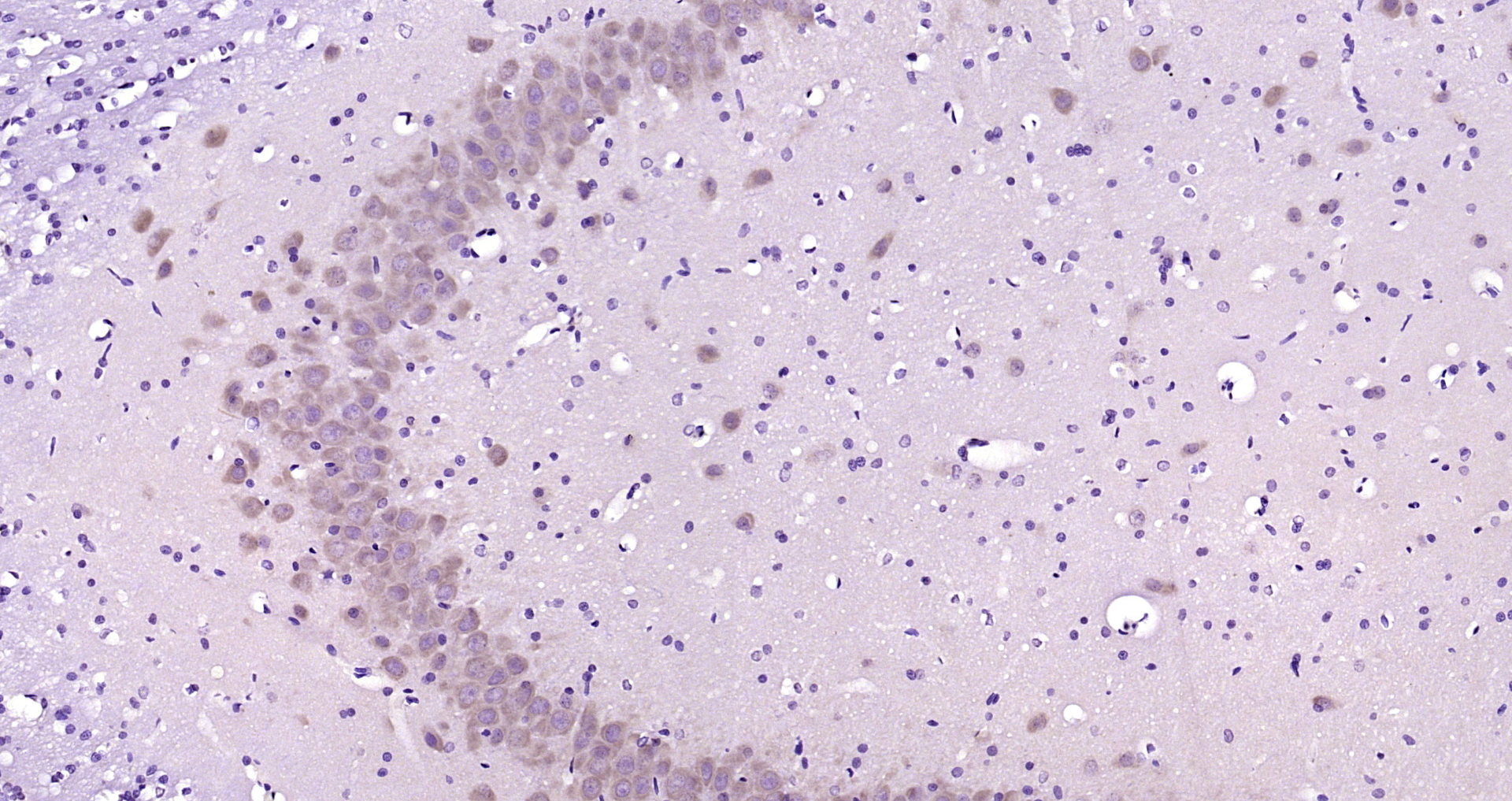
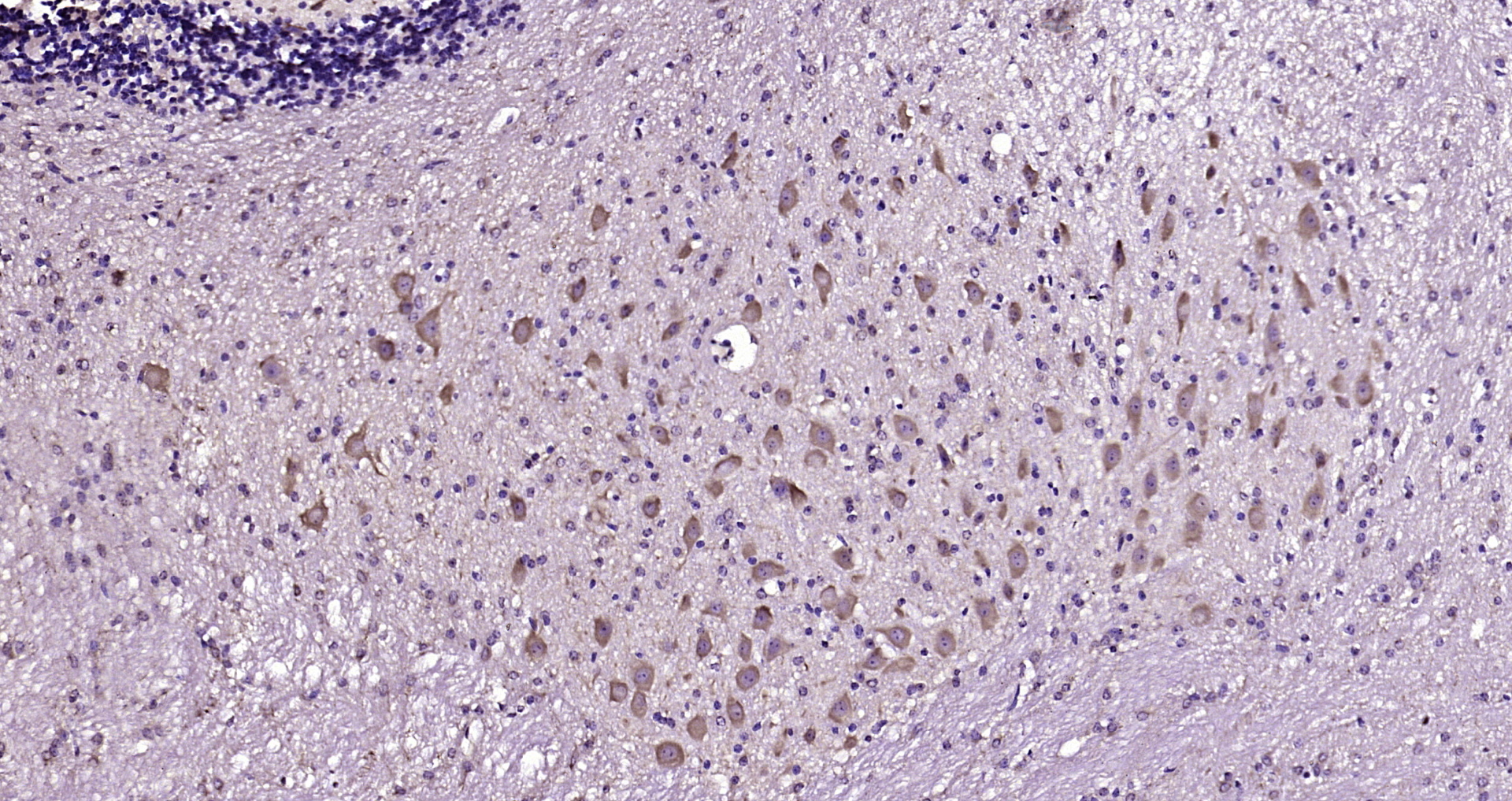
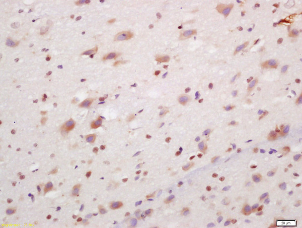
Paraformaldehyde-fixed, paraffin embedded Mouse brain; Antigen retrieval by boiling in sodium citrate buffer (pH6.0) for 15min; Block endogenous peroxidase by 3% hydrogen peroxide for 20 minutes; Blocking buffer (normal goat serum) at 37°C for 30min; Antibody incubation with PCP4/PEP-19 Polyclonal Antibody, Unconjugated (bs-11326R) at 1:200 overnight at 4°C, DAB staining.
PCP4 Polyclonal Antibody
BS-11326R
ApplicationsImmunoFluorescence, ELISA, ImmunoCytoChemistry, ImmunoHistoChemistry, ImmunoHistoChemistry Frozen, ImmunoHistoChemistry Paraffin
Product group Antibodies
ReactivityBovine, Human, Mouse, Rat, Sheep
TargetPCP4
Overview
- SupplierBioss
- Product NamePCP4 Polyclonal Antibody
- Delivery Days Customer16
- ApplicationsImmunoFluorescence, ELISA, ImmunoCytoChemistry, ImmunoHistoChemistry, ImmunoHistoChemistry Frozen, ImmunoHistoChemistry Paraffin
- Applications SupplierELISA(1:500-1000), IHC-P(1:200-400), IHC-F(1:100-500), IF(IHC-P)(1:50-200), IF(IHC-F)(1:50-200), IF(ICC)(1:50-200)
- CertificationResearch Use Only
- ClonalityPolyclonal
- Concentration1 ug/ul
- ConjugateUnconjugated
- Gene ID5121
- Target namePCP4
- Target descriptionPurkinje cell protein 4
- Target synonymsPEP-19, calmodulin regulator protein PCP4, brain specific polypeptide PEP19, brain-specific antigen PCP-4, brain-specific polypeptide PEP-19
- HostRabbit
- IsotypeIgG
- Protein IDP48539
- Protein NameCalmodulin regulator protein PCP4
- ReactivityBovine, Human, Mouse, Rat, Sheep
- Storage Instruction-20°C
- UNSPSC41116161






