![Wild-type (WT) and Peregrin knockout (KO) 293T cell extracts (30 μg) were separated by 5% SDS-PAGE, and the membrane was blotted with Peregrin antibody [N1N2], N-term (GTX102778) diluted at 1:1500. The HRP-conjugated anti-rabbit IgG antibody (GTX213110-01) was used to detect the primary antibody. Wild-type (WT) and Peregrin knockout (KO) 293T cell extracts (30 μg) were separated by 5% SDS-PAGE, and the membrane was blotted with Peregrin antibody [N1N2], N-term (GTX102778) diluted at 1:1500. The HRP-conjugated anti-rabbit IgG antibody (GTX213110-01) was used to detect the primary antibody.](https://www.genetex.com/upload/website/prouct_img/normal/GTX102778/GTX102778_44217_20210326_WB_KO_watermark_w_23060119_214.webp)
Wild-type (WT) and Peregrin knockout (KO) 293T cell extracts (30 μg) were separated by 5% SDS-PAGE, and the membrane was blotted with Peregrin antibody [N1N2], N-term (GTX102778) diluted at 1:1500. The HRP-conjugated anti-rabbit IgG antibody (GTX213110-01) was used to detect the primary antibody.
Peregrin antibody [N1N2], N-term
GTX102778
ApplicationsWestern Blot, ImmunoHistoChemistry, ImmunoHistoChemistry Paraffin
Product group Antibodies
ReactivityHuman, Mouse
TargetBRPF1
Overview
- SupplierGeneTex
- Product NamePeregrin antibody [N1N2], N-term
- Delivery Days Customer9
- Application Supplier NoteWB: 1:500-1:3000. *Optimal dilutions/concentrations should be determined by the researcher.Not tested in other applications.
- ApplicationsWestern Blot, ImmunoHistoChemistry, ImmunoHistoChemistry Paraffin
- CertificationResearch Use Only
- ClonalityPolyclonal
- Concentration0.19 mg/ml
- ConjugateUnconjugated
- Gene ID7862
- Target nameBRPF1
- Target descriptionbromodomain and PHD finger containing 1
- Target synonymsBR140, IDDDFP, peregrin, bromodomain-containing protein, 140kD
- HostRabbit
- IsotypeIgG
- Protein IDP55201
- Protein NamePeregrin
- Scientific DescriptionThe protein encoded by this gene is expressed ubiquitously and at the highest level in testes and spermatogonia. The protein is localized within nuclei, and it is very similar in structure to two zinc finger proteins, AF10 and AF17. It is suggested that these proteins form a family of regulatory proteins. Two alternatively spliced transcript variants encoding different isoforms have been found for this gene. [provided by RefSeq]
- ReactivityHuman, Mouse
- Storage Instruction-20°C or -80°C,2°C to 8°C
- UNSPSC41116161

![Various whole cell extracts (30 μg) were separated by 5% SDS-PAGE, and the membrane was blotted with Peregrin antibody [N1N2], N-term (GTX102778) diluted at 1:500. The HRP-conjugated anti-rabbit IgG antibody (GTX213110-01) was used to detect the primary antibody. Various whole cell extracts (30 μg) were separated by 5% SDS-PAGE, and the membrane was blotted with Peregrin antibody [N1N2], N-term (GTX102778) diluted at 1:500. The HRP-conjugated anti-rabbit IgG antibody (GTX213110-01) was used to detect the primary antibody.](https://www.genetex.com/upload/website/prouct_img/normal/GTX102778/GTX102778_44217_20210219_WB_w_23060119_803.webp)
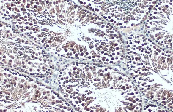
![Peregrin antibody [N1N2], N-term detects Peregrin protein at nucleus by immunohistochemical analysis. Sample: Paraffin-embedded mouse testis. Peregrin stained by Peregrin antibody [N1N2], N-term (GTX102778) diluted at 1:500. Antigen Retrieval: Citrate buffer, pH 6.0, 15 min Peregrin antibody [N1N2], N-term detects Peregrin protein at nucleus by immunohistochemical analysis. Sample: Paraffin-embedded mouse testis. Peregrin stained by Peregrin antibody [N1N2], N-term (GTX102778) diluted at 1:500. Antigen Retrieval: Citrate buffer, pH 6.0, 15 min](https://www.genetex.com/upload/website/prouct_img/normal/GTX102778/GTX102778_44217_20210507_IHC-P_M_w_23060119_698.webp)



![Various tissue extracts (50 μg) were separated by 5% SDS-PAGE, and the membrane was blotted with Peregrin antibody [HL2064] (GTX637968) diluted at 1:1000. The HRP-conjugated anti-rabbit IgG antibody (GTX213110-01) was used to detect the primary antibody, and the signal was developed with Trident ECL plus-Enhanced.](https://www.genetex.com/upload/website/prouct_img/normal/GTX637968/GTX637968_T-44886_20221216_WB_M_R_22122018_204.webp)