
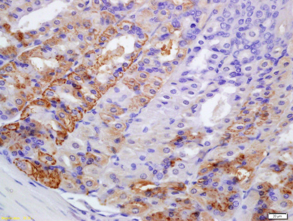
Paraformaldehyde-fixed, paraffin embedded rat kidney tissue; Antigen retrieval by boiling in sodium citrate buffer(pH6) for 15min; Block endogenous peroxidase by 3% hydrogen peroxide for 30 minutes; Blocking buffer (normal goat serum) at 37°C for 20min; Antibody incubation with Rabbit Anti-PERK Polyclonal Antibody, Unconjugated (bs-2469R) at 1:500 overnight at 4°C, followed by a conjugated secondary and DAB staining
PERK Polyclonal Antibody
BS-2469R
ApplicationsFlow Cytometry, ImmunoFluorescence, Western Blot, ELISA, ImmunoCytoChemistry, ImmunoHistoChemistry, ImmunoHistoChemistry Frozen, ImmunoHistoChemistry Paraffin
Product group Antibodies
ReactivityHuman, Mouse, Rat
TargetEIF2AK3
Overview
- SupplierBioss
- Product NamePERK Polyclonal Antibody
- Delivery Days Customer16
- ApplicationsFlow Cytometry, ImmunoFluorescence, Western Blot, ELISA, ImmunoCytoChemistry, ImmunoHistoChemistry, ImmunoHistoChemistry Frozen, ImmunoHistoChemistry Paraffin
- Applications SupplierWB(1:300-5000), ELISA(1:500-1000), FCM(1:20-100), IHC-P(1:200-400), IHC-F(1:100-500), IF(IHC-P)(1:50-200), IF(IHC-F)(1:50-200), IF(ICC)(1:50-200)
- CertificationResearch Use Only
- ClonalityPolyclonal
- Concentration1 ug/ul
- ConjugateUnconjugated
- Gene ID9451
- Target nameEIF2AK3
- Target descriptioneukaryotic translation initiation factor 2 alpha kinase 3
- Target synonymsPEK, PERK, WRS, eukaryotic translation initiation factor 2-alpha kinase 3, PKR-like ER kinase, PRKR-like endoplasmic reticulum kinase, pancreatic EIF2-alpha kinase, pancreatic eIF-2alpha kinase, protein tyrosine kinase EIF2AK3
- HostRabbit
- IsotypeIgG
- Protein IDQ9NZJ5
- Protein NameEukaryotic translation initiation factor 2-alpha kinase 3
- ReactivityHuman, Mouse, Rat
- Storage Instruction-20°C
- UNSPSC41116161
References
- Acetaldehyde Induces Neurotoxicity In Vitro via Oxidative Stress- and Ca2+ Imbalance-Mediated Endoplasmic Reticulum Stress. Cui J et al., 2019, Oxid Med Cell LongevRead this paper
- Radioprotective effect of Hohenbuehelia serotina polysaccharides through mediation of ER apoptosis pathway in vivo. Wang L et al., 2019 Apr 15, Int J Biol MacromolRead this paper
- Apoptosis Induction by Iron Radiation via Inhibition of Autophagy in Trp53+/- Mouse Testes: Is Chronic Restraint-Induced Stress a Modifying Factor? Li H et al., 2018, Int J Biol SciRead this paper
- Exposure to DBP and High Iodine Aggravates Autoimmune Thyroid Disease Through Increasing the Levels of IL-17 and Thyroid-Binding Globulin in Wistar Rats. Duan J et al., 2018 May 1, Toxicol SciRead this paper
- Silver nanoparticles induce SH-SY5Y cell apoptosis via endoplasmic reticulum- and mitochondrial pathways that lengthen endoplasmic reticulum-mitochondria contact sites and alter inositol-3-phosphate receptor function. Li L et al., 2018 Mar 15, Toxicol LettRead this paper
- Gypenoside Protects against Myocardial Ischemia-Reperfusion Injury by Inhibiting Cardiomyocytes Apoptosis via Inhibition of CHOP Pathway and Activation of PI3K/Akt Pathway In Vivo and In Vitro. Yu H et al., 2016, Cell Physiol BiochemRead this paper











