
Immunohistochemical analysis of paraffin-embedded SW480 xenograft, using PFKL(GTX105697) antibody at 1:500 dilution.
Antigen Retrieval: Citrate buffer, pH 6.0, 15 min
PFKL antibody [C1C3]
GTX105697
ApplicationsImmunoFluorescence, Western Blot, ImmunoCytoChemistry, ImmunoHistoChemistry, ImmunoHistoChemistry Paraffin
Product group Antibodies
ReactivityHuman, Mouse
TargetPFKL
Overview
- SupplierGeneTex
- Product NamePFKL antibody [C1C3]
- Delivery Days Customer9
- Application Supplier NoteWB: 1:500-1:3000. ICC/IF: 1:100-1:1000. IHC-P: 1:100-1:1000. *Optimal dilutions/concentrations should be determined by the researcher.Not tested in other applications.
- ApplicationsImmunoFluorescence, Western Blot, ImmunoCytoChemistry, ImmunoHistoChemistry, ImmunoHistoChemistry Paraffin
- CertificationResearch Use Only
- ClonalityPolyclonal
- Concentration1.23 mg/ml
- ConjugateUnconjugated
- Gene ID5211
- Target namePFKL
- Target descriptionphosphofructokinase, liver type
- Target synonymsATP-PFK, PFK-B, PFK-L, ATP-dependent 6-phosphofructokinase, liver type, 6-phosphofructokinase type B, 6-phosphofructokinase, liver type, liver-type 1-phosphofructokinase, phosphofructo-1-kinase isozyme B, phosphohexokinase
- HostRabbit
- IsotypeIgG
- Protein IDP17858
- Protein NameATP-dependent 6-phosphofructokinase, liver type
- Scientific DescriptionPhosphofructokinase (PFK) is a tetrameric enzyme that catalyzes a key step in glycolysis, namely the conversion of D-fructose 6-phosphate to D-fructose 1,6-bisphosphate. Separate genes encode a muscle subunit (M) and a liver subunit (L). PFK from muscle is a homotetramer of M subunits, PFK from liver is a homotetramer of L-subunits, while PFK from platelets can be composed of any tetrameric combination of M and L subunits. The protein encoded by this gene represents the L subunit. Alternate splicing results in two transcript variants, one of which is a candidate for nonsense-mediated decay (NMD). [provided by RefSeq]
- ReactivityHuman, Mouse
- Storage Instruction-20°C or -80°C,2°C to 8°C
- UNSPSC12352203
References
- Wang C, Qiao S, Zhao Y, et al. The KLF7/PFKL/ACADL axis modulates cardiac metabolic remodelling during cardiac hypertrophy in male mice. Nat Commun. 2023,14(1):959. doi: 10.1038/s41467-023-36712-9Read this paper
- Hu CM, Tien SC, Hsieh PK, et al. High Glucose Triggers Nucleotide Imbalance through O-GlcNAcylation of Key Enzymes and Induces KRAS Mutation in Pancreatic Cells. Cell Metab. 2019,29(6):1334-1349.e10. doi: 10.1016/j.cmet.2019.02.005Read this paper
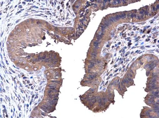
![PFKL antibody [C1C3] detects PFKL protein at cytoplasm in mouse cervix by immunohistochemical analysis. Sample: Paraffin-embedded mouse cervix. PFKL antibody [C1C3] (GTX105697) diluted at 1:500.
Antigen Retrieval: Citrate buffer, pH 6.0, 15 min PFKL antibody [C1C3] detects PFKL protein at cytoplasm in mouse cervix by immunohistochemical analysis. Sample: Paraffin-embedded mouse cervix. PFKL antibody [C1C3] (GTX105697) diluted at 1:500.
Antigen Retrieval: Citrate buffer, pH 6.0, 15 min](https://www.genetex.com/upload/website/prouct_img/normal/GTX105697/GTX105697_40023_20150417_IHC_M_w_23060120_253.webp)

![Whole cell extract (30 μg) was separated by 7.5% SDS-PAGE, and the membrane was blotted with PFKL antibody [C1C3] (GTX105697) diluted at 1:1000. The HRP-conjugated anti-rabbit IgG antibody (GTX213110-01) was used to detect the primary antibody. Whole cell extract (30 μg) was separated by 7.5% SDS-PAGE, and the membrane was blotted with PFKL antibody [C1C3] (GTX105697) diluted at 1:1000. The HRP-conjugated anti-rabbit IgG antibody (GTX213110-01) was used to detect the primary antibody.](https://www.genetex.com/upload/website/prouct_img/normal/GTX105697/GTX105697_45455_20240712_WB_24072519_966.webp)



