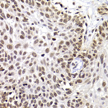
Immunohistochemistry of paraffin-embedded Human well-differentiated squamous skin carcinoma using PHIP Polyclonal Antibody at dilution of 1:100 (40x lens).
PHIP Polyclonal Antibody
E-AB-61584
Product group Antibodies
Overview
- SupplierElabscience
- Product NamePHIP Polyclonal Antibody
- Delivery Days Customer12
- CertificationResearch Use Only
- Scientific DescriptionThis gene encodes a protein that binds to the insulin receptor substrate 1 protein and regulates glucose transporter translocation in skeletal muscle cells. The encoded protein may also regulate growth and survival of pancreatic beta cells. Elevated copy number of this gene may be associated with melanoma severity and the encoded protein may promote melanoma metastasis in human patients.
- UNSPSC12352203

