
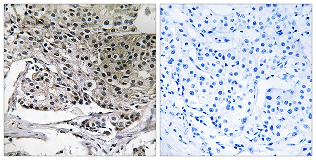
IHC-P analysis of human breast carcinoma tissue using GTX87565 PIG-Y antibody. The picture on the right is blocked with the synthesized peptide.
PIG-Y antibody
GTX87565
ApplicationsImmunoHistoChemistry, ImmunoHistoChemistry Paraffin
Product group Antibodies
ReactivityHuman
TargetPIGY
Overview
- SupplierGeneTex
- Product NamePIG-Y antibody
- Delivery Days Customer9
- Application Supplier NoteIHC-P: 1:50~1:100. *Optimal dilutions/concentrations should be determined by the researcher.Not tested in other applications.
- ApplicationsImmunoHistoChemistry, ImmunoHistoChemistry Paraffin
- CertificationResearch Use Only
- ClonalityPolyclonal
- ConjugateUnconjugated
- Gene ID84992
- Target namePIGY
- Target descriptionphosphatidylinositol glycan anchor biosynthesis class Y
- Target synonymsHPMRS6, PIG-Y, phosphatidylinositol N-acetylglucosaminyltransferase subunit Y, phosphatidylinositol-glycan biosynthesis class Y protein
- HostRabbit
- IsotypeIgG
- Protein IDQ3MUY2
- Protein NamePhosphatidylinositol N-acetylglucosaminyltransferase subunit Y
- Scientific DescriptionThe protein encoded by this gene is part of the GPI-N-acetylglucosaminyltransferase (GIP-GnT) complex which initiates the biosynthesis of glycosylphosphatidylinositol (GPI). GPI is synthesized in the endoplasmic reticulum and serves as an anchor for many surface proteins. Proteins containing GPI anchors can have an important role in cell-cell interactions. The transcript for this gene is bicistronic. The downstream open reading frame encodes this GPI-GnT complex protein, while the upstream open reading frame encodes a protein with unknown function, as represented by GeneID:100996939. [provided by RefSeq, Aug 2012]
- ReactivityHuman
- Storage Instruction-20°C or -80°C,2°C to 8°C
- UNSPSC41116161





