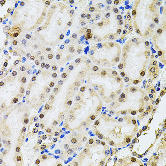
Immunohistochemistry of paraffin-embedded Rat kidney using POP4 Polyclonal Antibody at dilution of 1:100 (40x lens).
POP4 Polyclonal Antibody
E-AB-62363
Product group Antibodies
Overview
- SupplierElabscience
- Product NamePOP4 Polyclonal Antibody
- Delivery Days Customer12
- CertificationResearch Use Only
- Scientific DescriptionThis gene encodes one of the protein subunits of the small nucleolar ribonucleoprotein complexes: the endoribonuclease for mitochondrial RNA processing complex and the ribonuclease P complex. The encoded protein is localized to the nucleus and associates directly with the RNA component of these complexes. This protein is involved in processing of precursor RNAs. Alternative splicing results in multiple transcript variants.
- UNSPSC12352203



