Western Blot analysis of Human testis tissue, K562, A549, Raji, NIH/3T3 and Hela cell using PRKD3 Polyclonal Antibody at dilution of 1:200
PRKD3 Polyclonal Antibody
E-AB-15940
Product group Antibodies
Overview
- SupplierElabscience
- Product NamePRKD3 Polyclonal Antibody
- Delivery Days Customer12
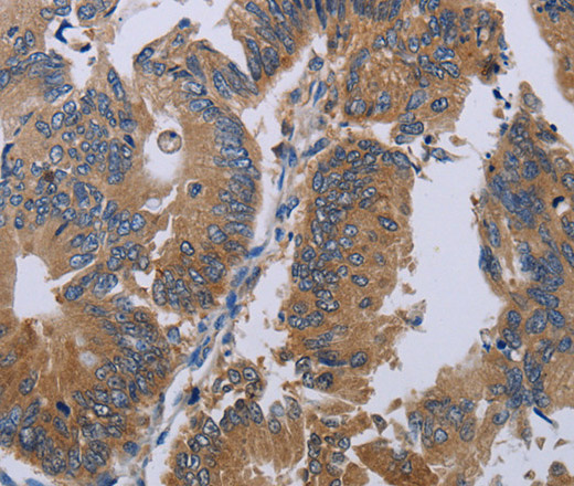
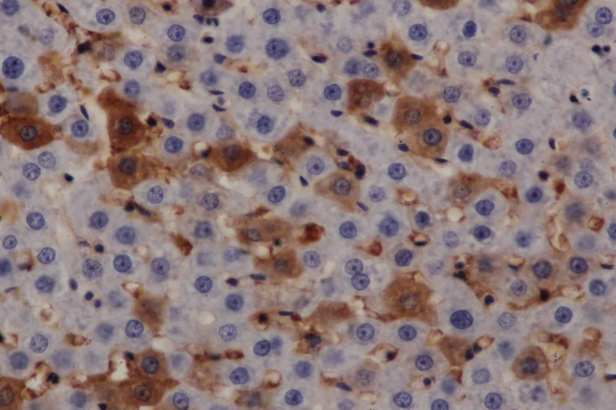
- Applications SupplierELISA WB IHC
- CertificationResearch Use Only
- Concentration1.1mg/ml
- Scientific DescriptionProtein kinase C (PKC) is a family of serine- and threonine-specific protein kinases that can be activated by calcium and the second messenger diacylglycerol. PKC family members phosphorylate a wide variety of protein targets and are known to be involved in diverse cellular signaling pathways. PKC family members also serve as major receptors for phorbol esters, a class of tumor promoters. EacHuman, Mouseember of the PKC family has a specific expression profile and is believed to play a distinct role. The protein encoded by this gene is one of the PKC family members.
- UNSPSC12352203






