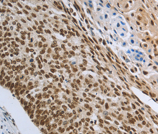
Immunohistochemistry of paraffin-embedded Human cervical cancer tissue using PRMT3 Polyclonal Antibody at dilution 1:30
PRMT3 Polyclonal Antibody
E-AB-15829
Product group Antibodies
Overview
- SupplierElabscience
- Product NamePRMT3 Polyclonal Antibody
- Delivery Days Customer12
- Applications SupplierELISA IHC
- CertificationResearch Use Only
- Concentration0.3mg/ml
- Scientific DescriptionType I protein arginine N-methyltransferases (PRMTs), such as PRMT3, catalyze the formation of asymmetric N(G),N(G)-dimethylarginine (ADMA) residues in proteins (Tang et al., 1998 [PubMed 9642256]).
- UNSPSC12352203




