
Lane 1: Jurkat Cells; Lane 2: Hela Cells; Lane 3: HepG2 Cells; Lane 4: 293 Cells; Probed with PSMA1 (10A2) Monoclonal Antibody (bsm-54170R) at 1:1000 overnight at 4°C followed by a conjugated secondary antibody for 60 minutes at 37°C.
PSMA1 Recombinant Antibody
BSM-54170R

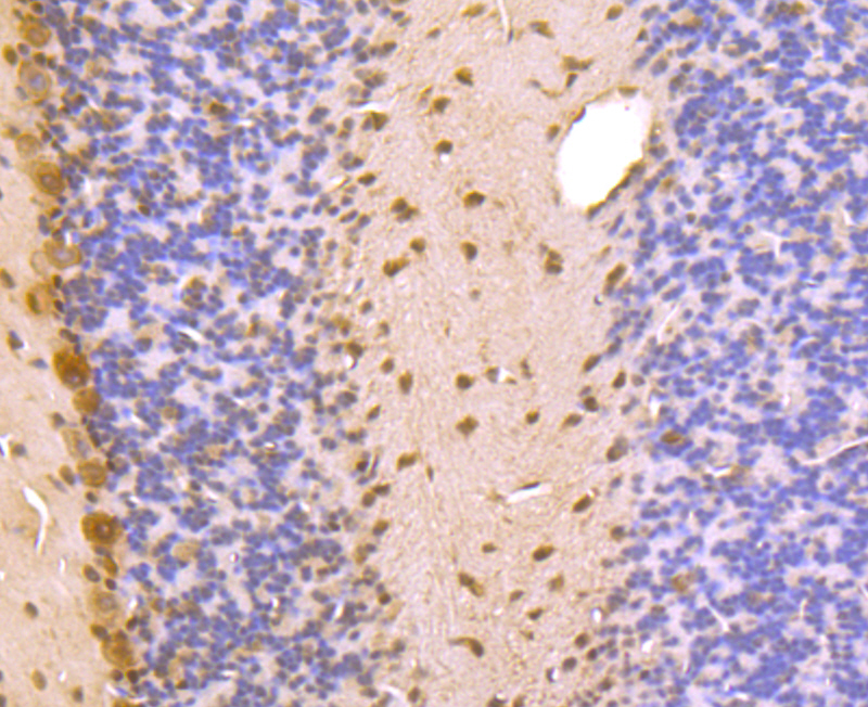
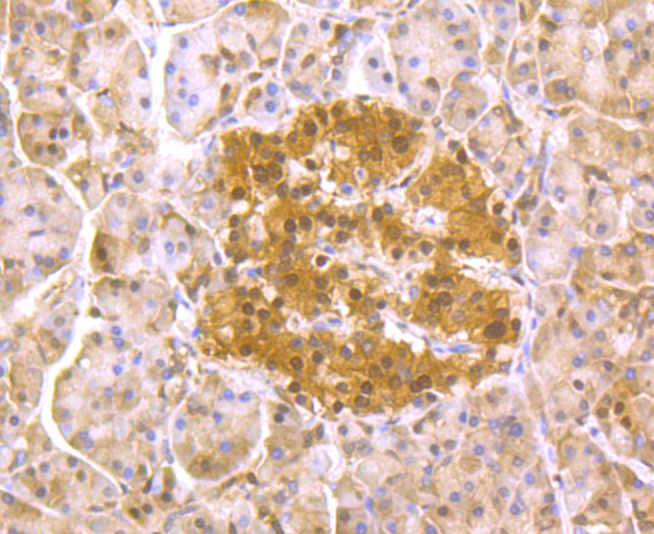
ApplicationsFlow Cytometry, ImmunoFluorescence, Western Blot, ImmunoCytoChemistry, ImmunoHistoChemistry, ImmunoHistoChemistry Frozen, ImmunoHistoChemistry Paraffin
Product group Antibodies
TargetPSMA1
Overview
- SupplierBioss Antibodies
- Product NamePSMA1 (10A2) Monoclonal Antibody
- Delivery Days Customer16
- ApplicationsFlow Cytometry, ImmunoFluorescence, Western Blot, ImmunoCytoChemistry, ImmunoHistoChemistry, ImmunoHistoChemistry Frozen, ImmunoHistoChemistry Paraffin
- Applications SupplierWB(WB=1:500-2000), IHC-P(IHC-P=1:50-200), IHC-F(IHC-F=1:50-200), IF(IF=1:50-200), Flow-Cyt(Flow-Cyt=1:50), ICC/IF(ICC/IF=1:50)
- CertificationResearch Use Only
- ClonalityMonoclonal
- Concentration1 ug/ul
- ConjugateUnconjugated
- Gene ID5682
- Target namePSMA1
- Target descriptionproteasome 20S subunit alpha 1
- Target synonyms30 kDa prosomal protein; epididymis secretory protein Li 275; HC2; HEL-S-275; macropain subunit C2; macropain subunit nu; multicatalytic endopeptidase complex subunit C2; NU; PROS30; PROS-30; proteasome (prosome, macropain) subunit, alpha type, 1; proteasome component C2; proteasome nu chain; proteasome subunit alpha 1; proteasome subunit alpha 6; proteasome subunit alpha type-1; proteasome subunit nu; proteasome subunit, alpha-type, 1; protein P30-33K; testicular tissue protein Li 150
- HostRabbit
- IsotypeIgG
- Protein IDP25786
- Protein NameProteasome subunit alpha type-1
- Storage Instruction-20°C
- UNSPSC12352203














