
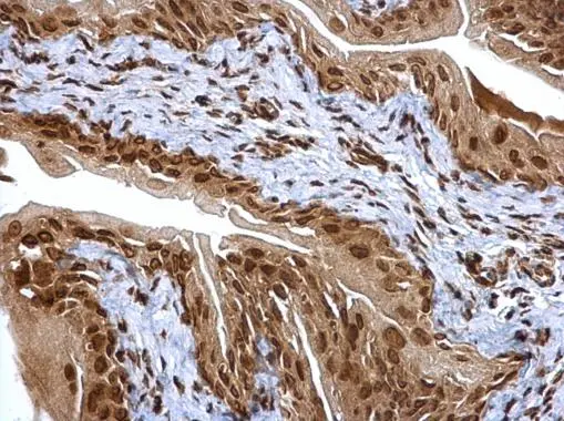
Proteasome 20S alpha 6 antibody detects Proteasome 20S alpha 6 protein at cytosol and nucleus on mouse lung by immunohistochemical analysis. Sample: Paraffin-embedded mouse lung. Proteasome 20S alpha 6 antibody (GTX113530) dilution: 1:500.
Antigen Retrieval: Trilogy? (EDTA based, pH 8.0) buffer, 15min
PSMA6 antibody
GTX113530
ApplicationsImmunoFluorescence, Western Blot, ImmunoCytoChemistry, ImmunoHistoChemistry, ImmunoHistoChemistry Paraffin
Product group Antibodies
ReactivityHuman, Mouse, Rat
TargetPSMA6
Overview
- SupplierGeneTex
- Product NamePSMA6 antibody
- Delivery Days Customer9
- Application Supplier NoteWB: 1:500-1:3000. ICC/IF: 1:100-1:1000. IHC-P: 1:100-1:1000. *Optimal dilutions/concentrations should be determined by the researcher.Not tested in other applications.
- ApplicationsImmunoFluorescence, Western Blot, ImmunoCytoChemistry, ImmunoHistoChemistry, ImmunoHistoChemistry Paraffin
- CertificationResearch Use Only
- ClonalityPolyclonal
- Concentration1 mg/ml
- ConjugateUnconjugated
- Gene ID5687
- Target namePSMA6
- Target descriptionproteasome 20S subunit alpha 6
- Target synonymsIOTA, PROS27, p27K, proteasome subunit alpha type-6, 27 kDa prosomal protein, PROS-27, alpha-1, macropain iota chain, macropain subunit iota, multicatalytic endopeptidase complex iota chain, prosomal P27K protein, proteasome (prosome, macropain) subunit, alpha type, 6, proteasome iota chain, proteasome subunit alpha 6, proteasome subunit alpha-1, proteasome subunit alpha1, proteasome subunit iota, testicular secretory protein Li 44
- HostRabbit
- IsotypeIgG
- Protein IDP60900
- Protein NameProteasome subunit alpha type-6
- Scientific DescriptionThe proteasome is a multicatalytic proteinase complex with a highly ordered ring-shaped 20S core structure. The core structure is composed of 4 rings of 28 non-identical subunits; 2 rings are composed of 7 alpha subunits and 2 rings are composed of 7 beta subunits. Proteasomes are distributed throughout eukaryotic cells at a high concentration and cleave peptides in an ATP/ubiquitin-dependent process in a non-lysosomal pathway. An essential function of a modified proteasome, the immunoproteasome, is the processing of class I MHC peptides. This gene encodes a member of the peptidase T1A family, that is a 20S core alpha subunit. A pseudogene has been identified on the Y chromosome. [provided by RefSeq]
- ReactivityHuman, Mouse, Rat
- Storage Instruction-20°C or -80°C,2°C to 8°C
- UNSPSC41116161












