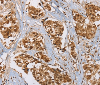
Immunohistochemistry of paraffin-embedded Human breast cancer tissue using RAB24 Polyclonal Antibody at dilution 1:45
RAB24 Polyclonal Antibody
E-AB-16749
Product group Antibodies
Overview
- SupplierElabscience
- Product NameRAB24 Polyclonal Antibody
- Delivery Days Customer12
- Applications SupplierELISA IHC
- CertificationResearch Use Only
- Concentration0.6mg/ml
- Scientific DescriptionRAB24 is a small GTPase of the Rab subfamily of Ras-related proteins that regulate intracellular protein trafficking. May be involved in autophagy-related processes. Unlike other Rab family members, does not interact with GDP dissociation inhibitors (GDIs), including ARHGDIA and ARHGDIB. Interacts with ZFYVE20.
- UNSPSC12352203





