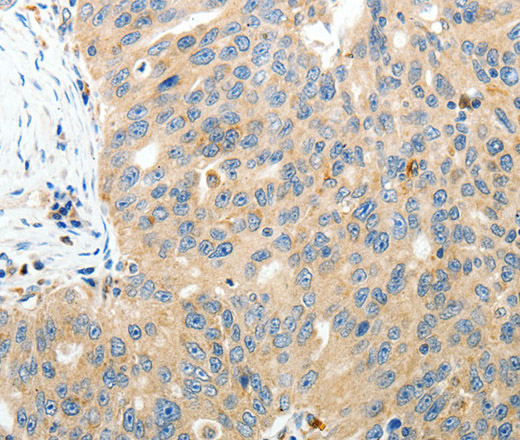
Immunohistochemistry of paraffin-embedded Human ovarian cancer tissue using RAMP3 Polyclonal Antibody at dilution 1:40
RAMP3 Polyclonal Antibody
E-AB-14309
Product group Antibodies
Overview
- SupplierElabscience
- Product NameRAMP3 Polyclonal Antibody
- Delivery Days Customer12
- Applications SupplierELISA IHC
- CertificationResearch Use Only
- Concentration0.2mg/ml
- Scientific DescriptionThe protein encoded by this gene is a member of the RAMP family of single-transmembrane-domain proteins, called receptor (calcitonin) activity modifying proteins (RAMPs). RAMPs are type I transmembrane proteins with an extracellular N terminus and a cytoplasmic C terminus. RAMPs are required to transport calcitonin-receptor-like receptor (CRLR) to the plasma membrane. CRLR, a receptor with seven transmembrane domains, can function as either a calcitonin-gene-related peptide (CGRP) receptor or an adrenomedullin receptor, depending on which members of the RAMP family are expressed. In the presence of this (RAMP3) protein, CRLR functions as an adrenomedullin receptor.
- UNSPSC12352203





