
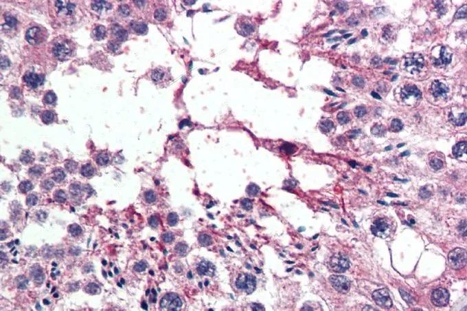
IHC-P analysis of human testis using GTX26041 RanBP16 antibody, C-term. Antigen retrieval : citrate buffer pH 6 Dilution : 5μg/ml
RanBP16 antibody, C-term
GTX26041
ApplicationsWestern Blot, ImmunoHistoChemistry, ImmunoHistoChemistry Paraffin
Product group Antibodies
ReactivityHuman
TargetXPO7
Overview
- SupplierGeneTex
- Product NameRanBP16 antibody, C-term
- Delivery Days Customer7
- Application Supplier NoteWB: 0.5-1microg/ml. IHC-P: 5microg/ml. *Optimal dilutions/concentrations should be determined by the researcher.Not tested in other applications.
- ApplicationsWestern Blot, ImmunoHistoChemistry, ImmunoHistoChemistry Paraffin
- CertificationResearch Use Only
- ClonalityPolyclonal
- Concentration0.50 mg/ml
- ConjugateUnconjugated
- Gene ID23039
- Target nameXPO7
- Target descriptionexportin 7
- Target synonymsEXP7, RANBP16, exportin-7, RAN binding protein 16
- HostGoat
- IsotypeIgG
- Protein IDQ9UIA9
- Protein NameExportin-7
- Scientific DescriptionThe transport of protein and large RNAs through the nuclear pore complexes (NPC) is an energy-dependent and regulated process. The import of proteins with a nuclear localization signal (NLS) is accomplished by recognition of one or more clusters of basic amino acids by the importin-alpha/beta complex; see MIM 600685 and MIM 602738. The small GTPase RAN (MIM 601179) plays a key role in NLS-dependent protein import. RAN-binding protein-16 is a member of the importin-beta superfamily of nuclear transport receptors.[supplied by OMIM, Jul 2002]
- ReactivityHuman
- Storage Instruction-20°C or -80°C,2°C to 8°C
- UNSPSC41116161





![Non-transfected (–) and transfected (+) A549 whole cell extracts (30 μg) were separated by 5% SDS-PAGE, and the membrane was blotted with RanBP16 antibody [HL2510] (GTX638871) diluted at 1:9000. The HRP-conjugated anti-rabbit IgG antibody (GTX213110-01) was used to detect the primary antibody.](https://www.genetex.com/upload/website/prouct_img/normal/GTX638871/GTX638871_45188_20231117_WB_shRNA_watermark_23112318_829.webp)
![Various tissue extracts (50 μg) were separated by 7.5% SDS-PAGE, and the membrane was blotted with RanBP16 antibody [C2C3], C-term (GTX102166) diluted at 1:500. The HRP-conjugated anti-rabbit IgG antibody (GTX213110-01) was used to detect the primary antibody.](https://www.genetex.com/upload/website/prouct_img/normal/GTX102166/GTX102166_39897_20210903_WB_M_tissue_w_23060100_972.webp)