
Lane 1: Stomach lysates probed with RASSF3 Polyclonal Antibody, Unconjugated (bs-6078R) at 1:1000 dilution and 4˚C overnight incubation. Followed by conjugated secondary antibody incubation at 1:20000 for 60 min at 37˚C.
RASSF3 Polyclonal Antibody
BS-6078R
ApplicationsImmunoFluorescence, Western Blot, ELISA, ImmunoCytoChemistry, ImmunoHistoChemistry, ImmunoHistoChemistry Frozen, ImmunoHistoChemistry Paraffin
Product group Antibodies
ReactivityBovine, Canine, Chicken, Equine, Human, Mouse, Rabbit, Rat
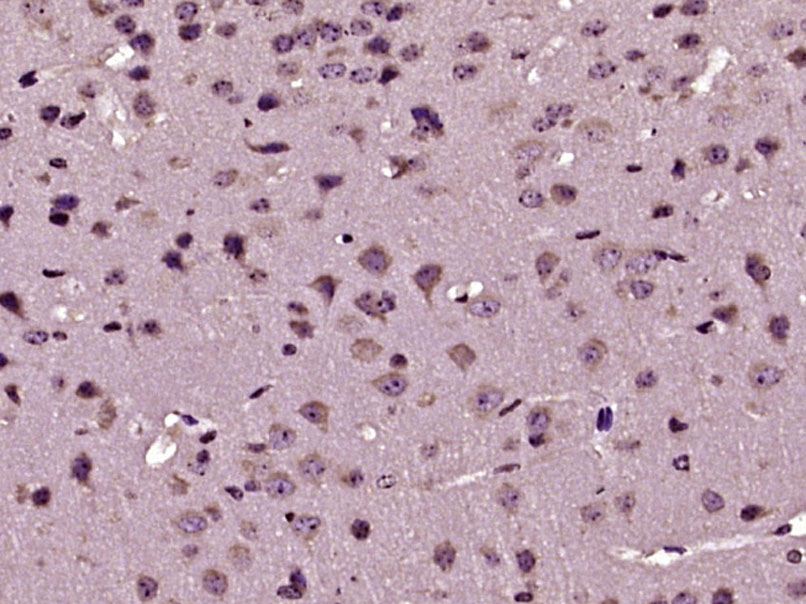
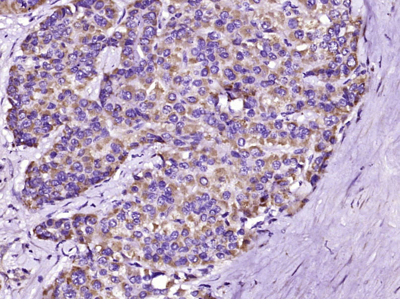
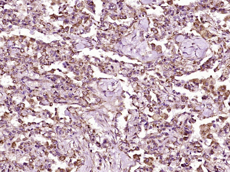
TargetRASSF3
Overview
- SupplierBioss
- Product NameRASSF3 Polyclonal Antibody
- Delivery Days Customer16
- ApplicationsImmunoFluorescence, Western Blot, ELISA, ImmunoCytoChemistry, ImmunoHistoChemistry, ImmunoHistoChemistry Frozen, ImmunoHistoChemistry Paraffin
- Applications SupplierWB(1:300-5000), ELISA(1:500-1000), IHC-P(1:200-400), IHC-F(1:100-500), IF(IHC-P)(1:50-200), IF(IHC-F)(1:50-200), IF(ICC)(1:50-200)
- CertificationResearch Use Only
- ClonalityPolyclonal
- Concentration1 ug/ul
- ConjugateUnconjugated
- Gene ID283349
- Target nameRASSF3
- Target descriptionRas association domain family member 3
- Target synonymsRASSF5, ras association domain-containing protein 3, Ras association (RalGDS/AF-6) domain family 3, Ras association (RalGDS/AF-6) domain family member 3
- HostRabbit
- IsotypeIgG
- Protein IDQ86WH2
- Protein NameRas association domain-containing protein 3
- ReactivityBovine, Canine, Chicken, Equine, Human, Mouse, Rabbit, Rat
- Storage Instruction-20°C
- UNSPSC41116161










