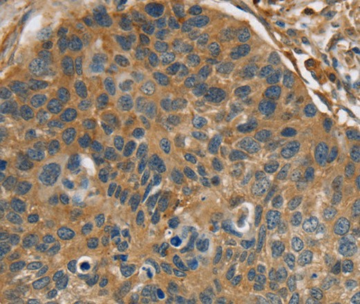
Immunohistochemistry of paraffin-embedded Human esophagus cancer tissue using RIPK4 Polyclonal Antibody at dilution 1:40
RIPK4 Polyclonal Antibody
E-AB-16762
Product group Antibodies
Overview
- SupplierElabscience
- Product NameRIPK4 Polyclonal Antibody
- Delivery Days Customer12
- Applications SupplierELISA IHC
- CertificationResearch Use Only
- Concentration0.2mg/ml
- Scientific DescriptionThe protein encoded by this gene is a serine/threonine protein kinase that interacts with protein kinase C-delta. The encoded protein can also activate NFkappaB and is required for keratinocyte differentiation. This kinase undergoes autophosphorylation.
- UNSPSC12352203




