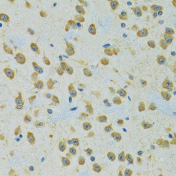
Immunohistochemistry of paraffin-embedded Rat brain using RPS7 Polyclonal Antibody at dilution of 1:100 (40x lens).
RPS7 Polyclonal Antibody
E-AB-61330
Product group Antibodies
Overview
- SupplierElabscience
- Product NameRPS7 Polyclonal Antibody
- Delivery Days Customer12
- CertificationResearch Use Only
- Scientific DescriptionRibosomes, the organelles that catalyze protein synthesis, consist of a small 40S subunit and a large 60S subunit. Together these subunits are composed of 4 RNA species and approximately 80 structurally distinct proteins. This gene encodes a ribosomal protein that is a component of the 40S subunit. The protein belongs to the S7E family of ribosomal proteins. It is located in the cytoplasm. As is typical for genes encoding ribosomal proteins, there are multiple processed pseudogenes of this gene dispersed through the genome.
- UNSPSC12352203





