Western blot analysis of extracts of various cell lines using SAMM50 Polyclonal Antibody at dilution of 1:1000.
SAMM50 Polyclonal Antibody
E-AB-62403
Product group Antibodies
Overview
- SupplierElabscience
- Product NameSAMM50 Polyclonal Antibody
- Delivery Days Customer12
- CertificationResearch Use Only
- Scientific DescriptionThis gene encodes a component of the Sorting and Assembly Machinery (SAM) of the mitochondrial outer membrane. The Sam complex functions in the assembly of beta-barrel proteins into the outer mitochondrial membrane.
- UNSPSC12352203





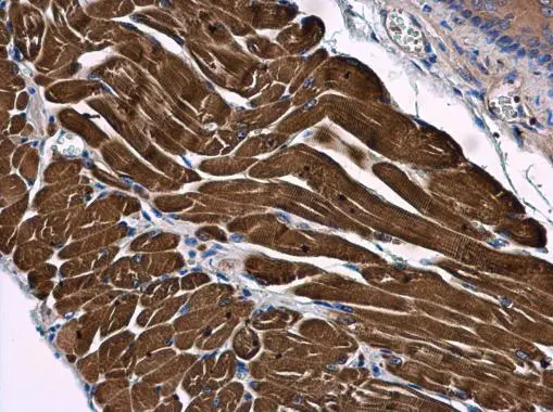
![SAMM50 antibody [N1C1] detects SAMM50 protein at cytoplasm in mouse muscle by immunohistochemical analysis. Sample: Paraffin-embedded mouse muscle. SAMM50 antibody [N1C1] (GTX118528) diluted at 1:500.
Antigen Retrieval: Citrate buffer, pH 6.0, 15 min](https://www.genetex.com/upload/website/prouct_img/normal/GTX118528/GTX118528_40667_20150806_IHC-P_M_w_23060519_519.webp)