![Various whole cell extracts (30 μg) were separated by 5% SDS-PAGE, and the membrane was blotted with SCAP antibody [C2C3], C-term (GTX109474) diluted at 1:2000. The HRP-conjugated anti-rabbit IgG antibody (GTX213110-01) was used to detect the primary antibody. Various whole cell extracts (30 μg) were separated by 5% SDS-PAGE, and the membrane was blotted with SCAP antibody [C2C3], C-term (GTX109474) diluted at 1:2000. The HRP-conjugated anti-rabbit IgG antibody (GTX213110-01) was used to detect the primary antibody.](https://www.genetex.com/upload/website/prouct_img/normal/GTX109474/GTX109474_45014_20230421_WB_23050223_445.webp)
Various whole cell extracts (30 μg) were separated by 5% SDS-PAGE, and the membrane was blotted with SCAP antibody [C2C3], C-term (GTX109474) diluted at 1:2000. The HRP-conjugated anti-rabbit IgG antibody (GTX213110-01) was used to detect the primary antibody.
SCAP antibody [C2C3], C-term
GTX109474
ApplicationsWestern Blot, ImmunoHistoChemistry, ImmunoHistoChemistry Paraffin
Product group Antibodies
ReactivityHuman, Mouse
TargetSCAP
Overview
- SupplierGeneTex
- Product NameSCAP antibody [C2C3], C-term
- Delivery Days Customer9
- Application Supplier NoteWB: 1:500-1:3000. IHC-P: 1:100-1:1000. *Optimal dilutions/concentrations should be determined by the researcher.Not tested in other applications.
- ApplicationsWestern Blot, ImmunoHistoChemistry, ImmunoHistoChemistry Paraffin
- CertificationResearch Use Only
- ClonalityPolyclonal
- Concentration1.43 mg/ml
- ConjugateUnconjugated
- Gene ID22937
- Target nameSCAP
- Target descriptionSREBF chaperone
- Target synonymssterol regulatory element-binding protein cleavage-activating protein, SREBP cleavage-activating protein
- HostRabbit
- IsotypeIgG
- Protein IDQ12770
- Protein NameSterol regulatory element-binding protein cleavage-activating protein
- Scientific DescriptionThis gene encodes a protein with a sterol sensing domain (SSD) and seven WD domains. In the presence of cholesterol, this protein binds to sterol regulatory element binding proteins (SREBPs) and mediates their transport from the ER to the Golgi. The SREBPs are then proteolytically cleaved and regulate sterol biosynthesis. [provided by RefSeq]
- ReactivityHuman, Mouse
- Storage Instruction-20°C or -80°C,2°C to 8°C
- UNSPSC41116161

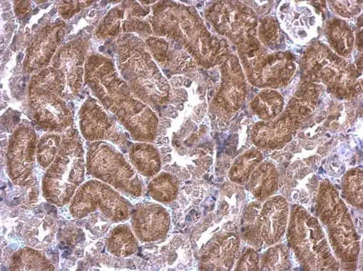
![SREBF chaperone protein antibody [C2C3], C-term detects SREBF chaperone protein protein at cytosol on mouse kidney by immunohistochemical analysis. Sample: Paraffin-embedded mouse kidney. SREBF chaperone protein antibody [C2C3], C-term (GTX109474) dilution: 1:500.
Antigen Retrieval: Trilogy? (EDTA based, pH 8.0) buffer, 15min SREBF chaperone protein antibody [C2C3], C-term detects SREBF chaperone protein protein at cytosol on mouse kidney by immunohistochemical analysis. Sample: Paraffin-embedded mouse kidney. SREBF chaperone protein antibody [C2C3], C-term (GTX109474) dilution: 1:500.
Antigen Retrieval: Trilogy? (EDTA based, pH 8.0) buffer, 15min](https://www.genetex.com/upload/website/prouct_img/normal/GTX109474/GTX109474_40023_IHC_M_2_w_23060500_190.webp)
![SREBF chaperone protein antibody [C2C3], C-term detects SREBF chaperone protein protein at cytosol on mouse kidney by immunohistochemical analysis. Sample: Paraffin-embedded mouse kidney. SREBF chaperone protein antibody [C2C3], C-term (GTX109474) dilution: 1:500.
Antigen Retrieval: Trilogy? (EDTA based, pH 8.0) buffer, 15min SREBF chaperone protein antibody [C2C3], C-term detects SREBF chaperone protein protein at cytosol on mouse kidney by immunohistochemical analysis. Sample: Paraffin-embedded mouse kidney. SREBF chaperone protein antibody [C2C3], C-term (GTX109474) dilution: 1:500.
Antigen Retrieval: Trilogy? (EDTA based, pH 8.0) buffer, 15min](https://www.genetex.com/upload/website/prouct_img/normal/GTX109474/GTX109474_40023_IHC_M_w_23060500_951.webp)




![Various whole cell extracts (30 μg) were separated by 5% SDS-PAGE, and the membrane was blotted with SCAP antibody [HL2796] (GTX639684) diluted at 1:1000. The HRP-conjugated anti-rabbit IgG antibody (GTX213110-01) was used to detect the primary antibody.](https://www.genetex.com/upload/website/prouct_img/normal/GTX639684/GTX639684_T-45320_20240223_WB_24032600_511.webp)

