
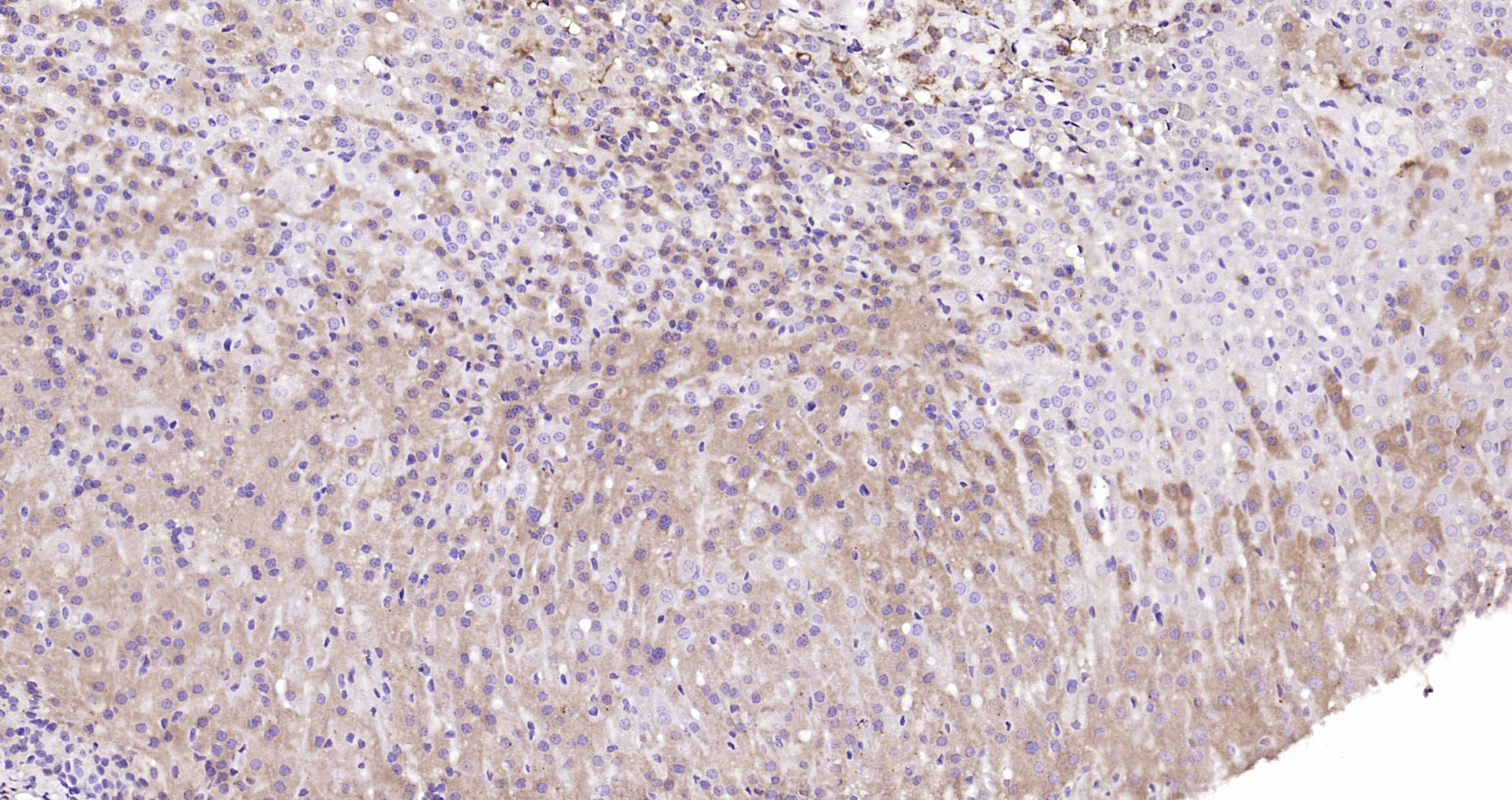
Paraformaldehyde-fixed, paraffin embedded Mouse adrenal gland; Antigen retrieval by boiling in sodium citrate buffer (pH6.0) for 15min; Block endogenous peroxidase by 3% hydrogen peroxide for 20 minutes; Blocking buffer (normal goat serum) at 37°C for 30min; Antibody incubation with SEC14L1 Polyclonal Antibody, Unconjugated (bs-4447R) at 1:200 overnight at 4°C, DAB staining.
SEC14L1 Polyclonal Antibody
BS-4447R
ApplicationsImmunoFluorescence, Western Blot, ELISA, ImmunoCytoChemistry, ImmunoHistoChemistry, ImmunoHistoChemistry Frozen, ImmunoHistoChemistry Paraffin
Product group Antibodies
ReactivityHuman, Mouse, Rat
TargetSEC14L1
Overview
- SupplierBioss
- Product NameSEC14L1 Polyclonal Antibody
- Delivery Days Customer16
- ApplicationsImmunoFluorescence, Western Blot, ELISA, ImmunoCytoChemistry, ImmunoHistoChemistry, ImmunoHistoChemistry Frozen, ImmunoHistoChemistry Paraffin
- Applications SupplierWB(1:300-5000), ELISA(1:500-1000), IHC-P(1:200-400), IHC-F(1:100-500), IF(IHC-P)(1:50-200), IF(IHC-F)(1:50-200), IF(ICC)(1:50-200)
- CertificationResearch Use Only
- ClonalityPolyclonal
- Concentration1 ug/ul
- ConjugateUnconjugated
- Gene ID6397
- Target nameSEC14L1
- Target descriptionSEC14 like lipid binding 1
- Target synonymsPRELID4A, SEC14L, SEC14-like protein 1
- HostRabbit
- IsotypeIgG
- Protein IDQ92503
- Protein NameSEC14-like protein 1
- ReactivityHuman, Mouse, Rat
- Storage Instruction-20°C
- UNSPSC12352203




