
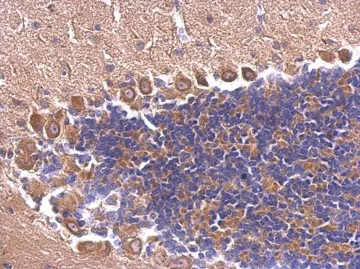
Immunohistochemical analysis of paraffin-embedded mouse brain, using SEC6(GTX123688) antibody at 1:500 dilution.
Antigen Retrieval: Trilogy? (EDTA based, pH 8.0) buffer, 15min
SEC6 antibody
GTX123688
ApplicationsWestern Blot, ImmunoHistoChemistry, ImmunoHistoChemistry Paraffin
Product group Antibodies
ReactivityHuman, Mouse
TargetEXOC3
Overview
- SupplierGeneTex
- Product NameSEC6 antibody
- Delivery Days Customer9
- Application Supplier NoteWB: 1:500-1:3000. IHC-P: 1:100-1:1000. *Optimal dilutions/concentrations should be determined by the researcher.Not tested in other applications.
- ApplicationsWestern Blot, ImmunoHistoChemistry, ImmunoHistoChemistry Paraffin
- CertificationResearch Use Only
- ClonalityPolyclonal
- Concentration0.74 mg/ml
- ConjugateUnconjugated
- Gene ID11336
- Target nameEXOC3
- Target descriptionexocyst complex component 3
- Target synonymsSEC6, SEC6L1, Sec6p, exocyst complex component 3, SEC6-like 1, Sec 6 homolog, exocyst complex component Sec6
- HostRabbit
- IsotypeIgG
- Protein IDO60645
- Protein NameExocyst complex component 3
- Scientific DescriptionThe protein encoded by this gene is a component of the exocyst complex, a multiple protein complex essential for targeting exocytic vesicles to specific docking sites on the plasma membrane. Though best characterized in yeast, the component proteins and functions of exocyst complex have been demonstrated to be highly conserved in higher eukaryotes. At least eight components of the exocyst complex, including this protein, are found to interact with the actin cytoskeletal remodeling and vesicle transport machinery. The complex is also essential for the biogenesis of epithelial cell surface polarity. [provided by RefSeq]
- ReactivityHuman, Mouse
- Storage Instruction-20°C or -80°C,2°C to 8°C
- UNSPSC41116161







