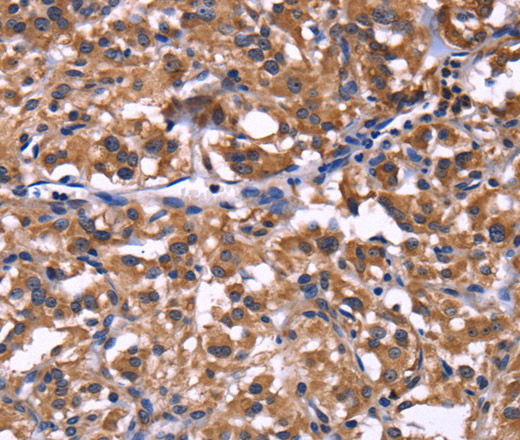
Immunohistochemistry of paraffin-embedded Human thyroid cancer tissue using SELPLG Polyclonal Antibody at dilution 1:50
SELPLG Polyclonal Antibody
E-AB-10562
Product group Antibodies
Overview
- SupplierElabscience
- Product NameSELPLG Polyclonal Antibody
- Delivery Days Customer12
- Applications SupplierELISA IHC
- CertificationResearch Use Only
- Concentration0.4mg/ml
- Scientific DescriptionThis gene encodes a glycoprotein that functions as a high affinity counter-receptor for the cell adhesion molecules P-, E- and L- selectin expressed on myeloid cells and stimulated T lymphocytes. As such, this protein plays a critical role in leukocyte trafficking during inflammation by tethering of leukocytes to activated platelets or endothelia expressing selectins. This protein requires two post-translational modifications, tyrosine sulfation and the addition of the sialyl Lewis x tetrasaccharide (sLex) to its O-linked glycans, for its high-affinity binding activity. Aberrant expression of this gene and polymorphisms in this gene are associated with defects in the innate and adaptive immune response. Alternate splicing results in multiple transcript variants.
- UNSPSC12352203





