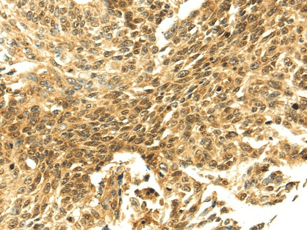
Immunohistochemistry of paraffin-embedded Human lung cancer tissue using SHPRH Polyclonal Antibody at dilution 1:40
SHPRH Polyclonal Antibody
E-AB-17032
Product group Antibodies
Overview
- SupplierElabscience
- Product NameSHPRH Polyclonal Antibody
- Delivery Days Customer12
- CertificationResearch Use Only
- Scientific DescriptionSHPRH is a ubiquitously expressed protein that contains motifs characteristics of several DNA repair proteins, transcription factors, and helicases. SHPRH is a functional homolog of S. cerevisiae RAD5 (Unk et al., 2006 [PubMed 17108083]).
- UNSPSC12352203





