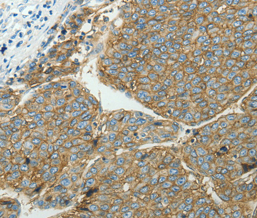
Immunohistochemistry of paraffin-embedded Human liver cancer tissue using SLC16A1 Polyclonal Antibody at dilution 1:50
SLC16A1 Polyclonal Antibody
E-AB-15768
Product group Antibodies
Overview
- SupplierElabscience
- Product NameSLC16A1 Polyclonal Antibody
- Delivery Days Customer12
- Applications SupplierELISA IHC
- CertificationResearch Use Only
- Concentration0.4mg/ml
- Scientific DescriptionThe protein encoded by this gene is a proton-linked monocarboxylate transporter that catalyzes the movement of many monocarboxylates, such as lactate and pyruvate, across the plasma membrane. Mutations in this gene are associated with erythrocyte lactate transporter defect. Alternatively spliced transcript variants have been found for this gene.
- UNSPSC12352203






