
Various tissue extracts (30 μg) were separated by 10% SDS-PAGE, and the membrane was blotted with SLC17A3 antibody (GTX135781) diluted at 1:1000. The HRP-conjugated anti-rabbit IgG antibody (GTX213110-01) was used to detect the primary antibody.
SLC17A3 antibody
GTX135781
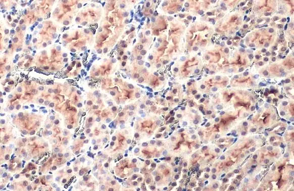
ApplicationsWestern Blot, ImmunoHistoChemistry, ImmunoHistoChemistry Paraffin
Product group Antibodies
ReactivityHuman, Mouse, Rat
TargetSLC17A3
Overview
- SupplierGeneTex
- Product NameSLC17A3 antibody
- Delivery Days Customer9
- Application Supplier NoteWB: 1:500-1:3000. IHC-P: 1:100-1:1000. *Optimal dilutions/concentrations should be determined by the researcher.Not tested in other applications.
- ApplicationsWestern Blot, ImmunoHistoChemistry, ImmunoHistoChemistry Paraffin
- CertificationResearch Use Only
- ClonalityPolyclonal
- Concentration1.92 mg/ml
- ConjugateUnconjugated
- Gene ID10786
- Target nameSLC17A3
- Target descriptionsolute carrier family 17 member 3
- Target synonymsGOUT4, NPT4, UAQTL4, sodium-dependent phosphate transport protein 4, Na(+)/PI cotransporter 4, sodium/phosphate cotransporter 4, solute carrier family 17 (organic anion transporter), member 3, solute carrier family 17 (sodium phosphate), member 3
- HostRabbit
- IsotypeIgG
- Protein IDO00476
- Protein NameSodium-dependent phosphate transport protein 4
- Scientific DescriptionThe protein encoded by this gene is a voltage-driven transporter that excretes intracellular urate and organic anions from the blood into renal tubule cells. Two transcript variants encoding different isoforms have been found for this gene. The longer isoform is a plasma membrane protein with transporter activity while the shorter isoform localizes to the endoplasmic reticulum. [provided by RefSeq, Aug 2012]
- ReactivityHuman, Mouse, Rat
- Storage Instruction-20°C or -80°C,2°C to 8°C
- UNSPSC41116161





