
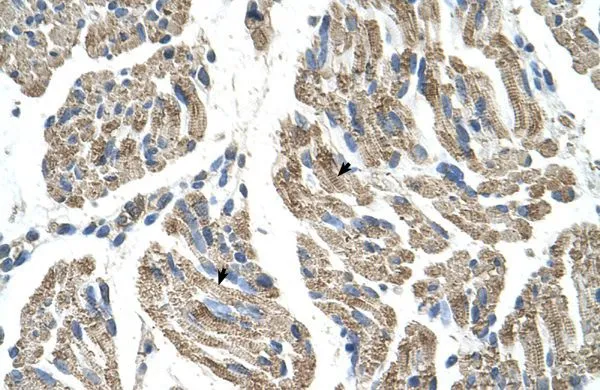
IHC-P analysis of human muscle tissue using GTX46811 SLC25A38 antibody at 4.0-8.0microg/ml.
SLC25A38 antibody, Internal
GTX46811
ApplicationsWestern Blot, ImmunoHistoChemistry, ImmunoHistoChemistry Paraffin
Product group Antibodies
ReactivityHuman
TargetSLC25A38
Overview
- SupplierGeneTex
- Product NameSLC25A38 antibody, Internal
- Delivery Days Customer9
- Application Supplier NoteWB: 0.2-2.5 ug/ml. IHC-P: 2-10 ug/ml. *Optimal dilutions/concentrations should be determined by the researcher.Not tested in other applications.
- ApplicationsWestern Blot, ImmunoHistoChemistry, ImmunoHistoChemistry Paraffin
- CertificationResearch Use Only
- ClonalityPolyclonal
- Concentration0.5-1 mg/ml
- ConjugateUnconjugated
- Gene ID54977
- Target nameSLC25A38
- Target descriptionsolute carrier family 25 member 38
- Target synonymsSIDBA2, mitochondrial glycine transporter, appoptosin, mitochondrial glycine transporter GlyC
- HostRabbit
- IsotypeIgG
- Protein IDQ96DW6
- Protein NameMitochondrial glycine transporter
- Scientific DescriptionThis gene is a member of the mitochondrial carrier family. The encoded protein is required during erythropoiesis and is important for the biosynthesis of heme. Mutations in this gene are the cause of autosomal congenital sideroblastic anemia (anemia, sideroblastic, 2, pyridoxine-refractory). A related pseudogene is found on chromosome 1. [provided by RefSeq, Aug 2017]
- ReactivityHuman
- Storage Instruction-20°C or -80°C,2°C to 8°C
- UNSPSC12352203







