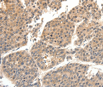
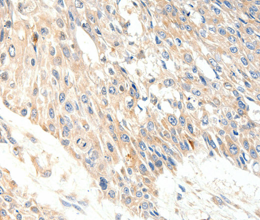
Immunohistochemistry of paraffin-embedded Human esophagus cancer tissue using SLC27A1 Polyclonal Antibody at dilution 1:40
SLC27A1 Polyclonal Antibody
E-AB-16064
Product group Antibodies
Overview
- SupplierElabscience
- Product NameSLC27A1 Polyclonal Antibody
- Delivery Days Customer12
- Applications SupplierELISA IHC
- CertificationResearch Use Only
- Concentration0.2mg/ml
- Scientific DescriptionThe protein involved in translocation of long-chain fatty acids (LFCA) across the plasma membrane. The LFCA import appears to be hormone-regulated in a tissue-specific manner. In adipocytes, but not myocytes, insulin induces a rapid translocation of FATP1 from intracellular compartments to the plasma membrane, paralleled by increased LFCA uptake. Plays a pivotal role in regulating available LFCA substrates from exogenous sources in tissues undergoing high levels of beta-oxidation or triglyceride synthesis. May be involved in regulation of cholesterol metabolism. Has acyl-CoA ligase activity for long-chain and very-long-chain fatty acids .Highest levels of expression are detected in muscle and adipose tissue small, intermediate levels in small intestine, and barely detectable in liver.
- UNSPSC12352203





