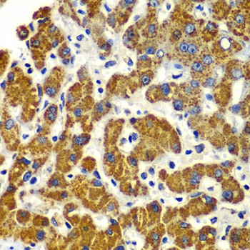
Immunohistochemistry of paraffin-embedded Human liver damage using SMAD9 Polyclonal Antibody at dilution of 1:100 (40x lens).
SMAD9 Polyclonal Antibody
E-AB-61763
Product group Antibodies
Overview
- SupplierElabscience
- Product NameSMAD9 Polyclonal Antibody
- Delivery Days Customer12
- CertificationResearch Use Only
- Scientific DescriptionThe protein encoded by this gene is a member of the SMAD family, which transduces signals from TGF-beta family members. The encoded protein is activated by bone morphogenetic proteins and interacts with SMAD4. Two transcript variants encoding different isoforms have been found for this gene.
- UNSPSC12352203





